Formulation Supplied at 0.5 mg/ml in Tris saline, 0.02% sodium azide, pH7.3 with 0.5% bovine serum albumin.
| |
Unit Size 100 µg | |
Storage Instructions Aliquot and store at -20°C. Minimize freezing and thawing. | |
Synonym / Alias Names 3 beta-and steroid delta-isomerase 1|3 beta- and steroid hydroxy-delta-5-steroid dehydrogenase|Hydroxy-delta-5-steroid dehydrogenase|HSDB3|HSD3B|HGNC:5217|hydroxy-delta-5-steroid dehydrogenase, 3 beta- and steroid delta-isomerase 1|HSD3B1 | |
Accession ID NP_000853.1 | |
Blocking Peptide EBP07218 | |
Immunogen Peptide with sequence C-DRHKETLKSKTQ, from the C Terminus of the protein sequence according to NP_000853.1. | |
Peptide Sequence C-DRHKETLKSKTQ | |
Purification Method Purified from goat serum by ammonium sulphate precipitation followed by antigen affinity chromatography using the immunizing peptide. | |
Shipping Instructions Refrigerated | |
Predicted Species Human | |
Reactive Species Human | |
Human Gene ID 3283 | |
Product Grade ![]() | |
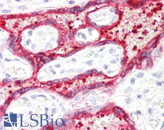
IHC Results Paraffin embedded Human Placenta. Recommended concentration: 3.75µg/ml. | |
ELISA Detection Limit Antibody detection limit dilution 1:128000. | |
Western Blot Approx 40kDa band observed in Human Placenta and Adrenal Gland lysates (calculated MW of 42.3kDa according to NP_000853.1). Recommended concentration: 0.003-0.01µg/ml. | |
Application Type Pep-ELISA, WB, IHC |
Goat Anti-HSD3B1 Antibody
$431.00
| SKU | Unit Size | Price |
|---|---|---|
Select a unit size:
Documents |



