Formulation Supplied at 0.5 mg/ml in Tris saline, 0.02% sodium azide, pH7.3 with 0.5% bovine serum albumin.
| |
Unit Size 100 µg | |
Storage Instructions Aliquot and store at -20°C. Minimize freezing and thawing. | |
Synonym / Alias Names mitochondrial matrix prote|heat shock protein 65|chaperonin 60|P60 lymphocyte protein|60 kDa heat shock protein, mitochondrial|60 kDa chaperonin|SPG13|HuCHA60|HSP65|HSP60|HSP-60|HLD4|GROEL|CPN60|heat shock 60kDa protein 1 (chaperonin)|HSPD1 | |
Usage Summary Immunofluorescence: Strong expression of the protein seen in the mitochondria of HeLa cells and in the cytoplasm of A431 cells. Recommended concentration: 10µg/ml. | |
Accession ID NP_002147.2 | |
Blocking Peptide EBP12834 | |
Immunogen Peptide with sequence C-NLEDVQPHDLGK, from the internal region of the protein sequence according to NP_002147.2. | |
Product Comments Reported variants represent identical protein: NP_955472.1, NP_002147.2. | |
Peptide Sequence C-NLEDVQPHDLGK | |
Purification Method Purified from goat serum by ammonium sulphate precipitation followed by antigen affinity chromatography using the immunizing peptide. | |
Shipping Instructions Refrigerated | |
Predicted Species Human, Dog, Pig, Cow | |
Reactive Species Human, Rat, Pig | |
Human Gene ID 3329 | |
Product Grade ![]() | |
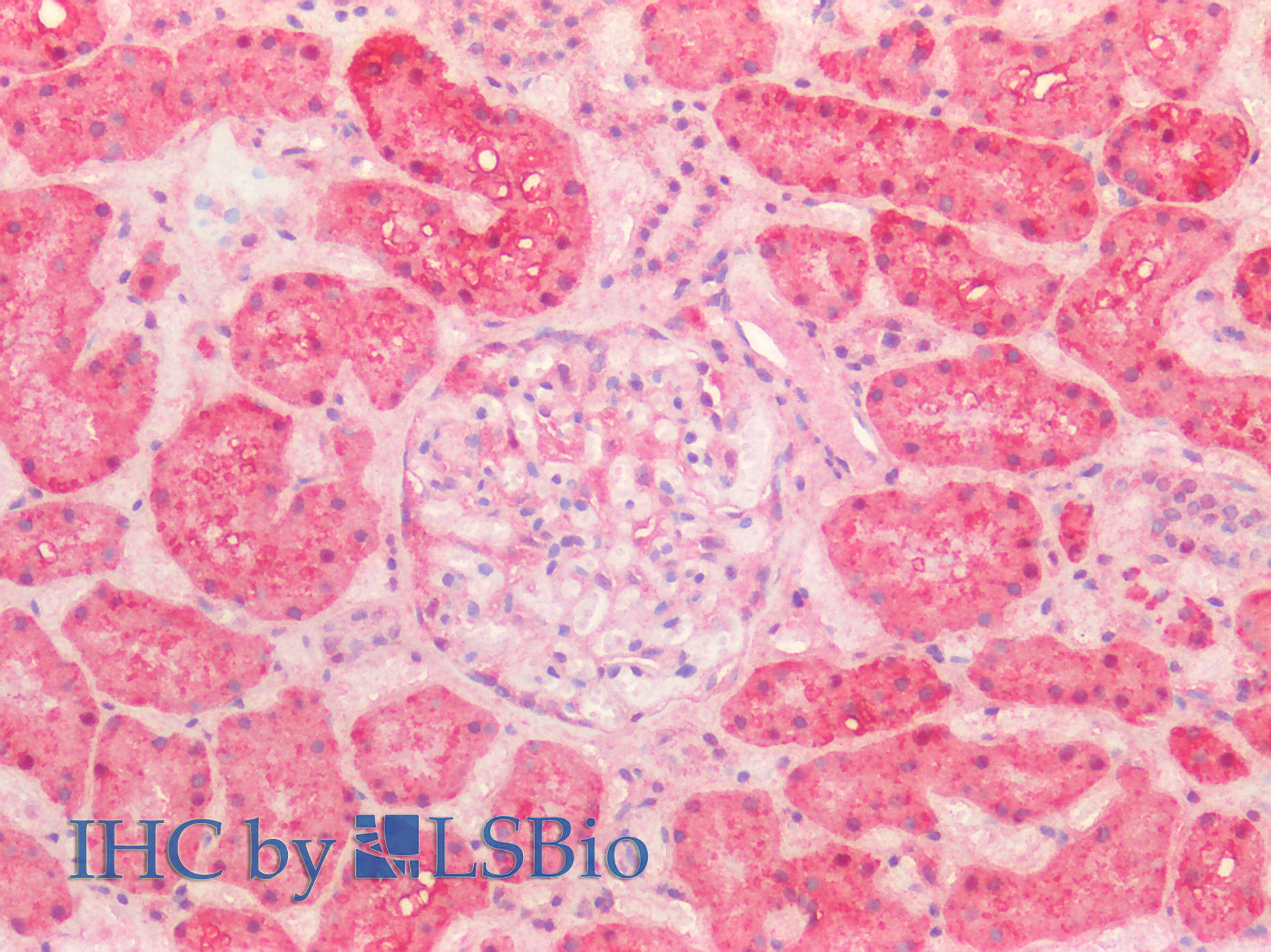
IHC Results Paraffin embedded Human Kidney. Recommended concentration: 5µg/ml. | |
ELISA Detection Limit Antibody detection limit dilution 1:64000. | |
Western Blot Approx 60kDa band observed in Human and Pig Heart, Kidney and Liver and in Rat Kidney lysates (calculated MW of 61.1kDa according to Human NP_002147.2 and 60.9kDa according to Pig NP_001241645.1 and Rat NP_071565.2 ). Recommended concentration: 0.01-0.1µg/ml. Primary incubation 1 hour at room temperature. | |
Application Type Pep-ELISA, WB, IHC, IF |
Goat Anti-HSP60 / HSPD1 (aa333-344) Antibody
$431.00
| SKU | Unit Size | Price |
|---|---|---|
Select a unit size:
Documents |





