Formulation Supplied at 0.5 mg/ml in Tris saline, 0.02% sodium azide, pH7.3 with 0.5% bovine serum albumin.
| |
Unit Size 100 µg | |
Storage Instructions Aliquot and store at -20°C. Minimize freezing and thawing. | |
Synonym / Alias Names immunoglobu|epididymis secretory sperm binding protein Li 89n|endoplasmic reticulum lumenal Ca(2+)-binding protein grp78|78 kDa glucose-regulated protein|MIF2|HEL-S-89n|GRP78|BIP|heat shock 70kDa protein 5 (glucose-regulated protein, 78kDa)|HSPA5 | |
Usage Summary Immunofluorescence: Expression of the protein seen in the cytoplasm of HeLa cells. Recommended concentration: 5µg/ml | |
Accession ID NP_005338.1 | |
Blocking Peptide EBP12857 | |
Immunogen Peptide with sequence C-ESHQDADIEDFK, from the internal region (near C Terminus) of the protein sequence according to NP_005338.1. | |
Peptide Sequence C-ESHQDADIEDFK | |
Purification Method Purified from goat serum by ammonium sulphate precipitation followed by antigen affinity chromatography using the immunizing peptide. | |
Shipping Instructions Refrigerated | |
Predicted Species Human | |
Reactive Species Human, Mouse, Rat | |
Human Gene ID 3309 | |
Product Grade ![]() | |
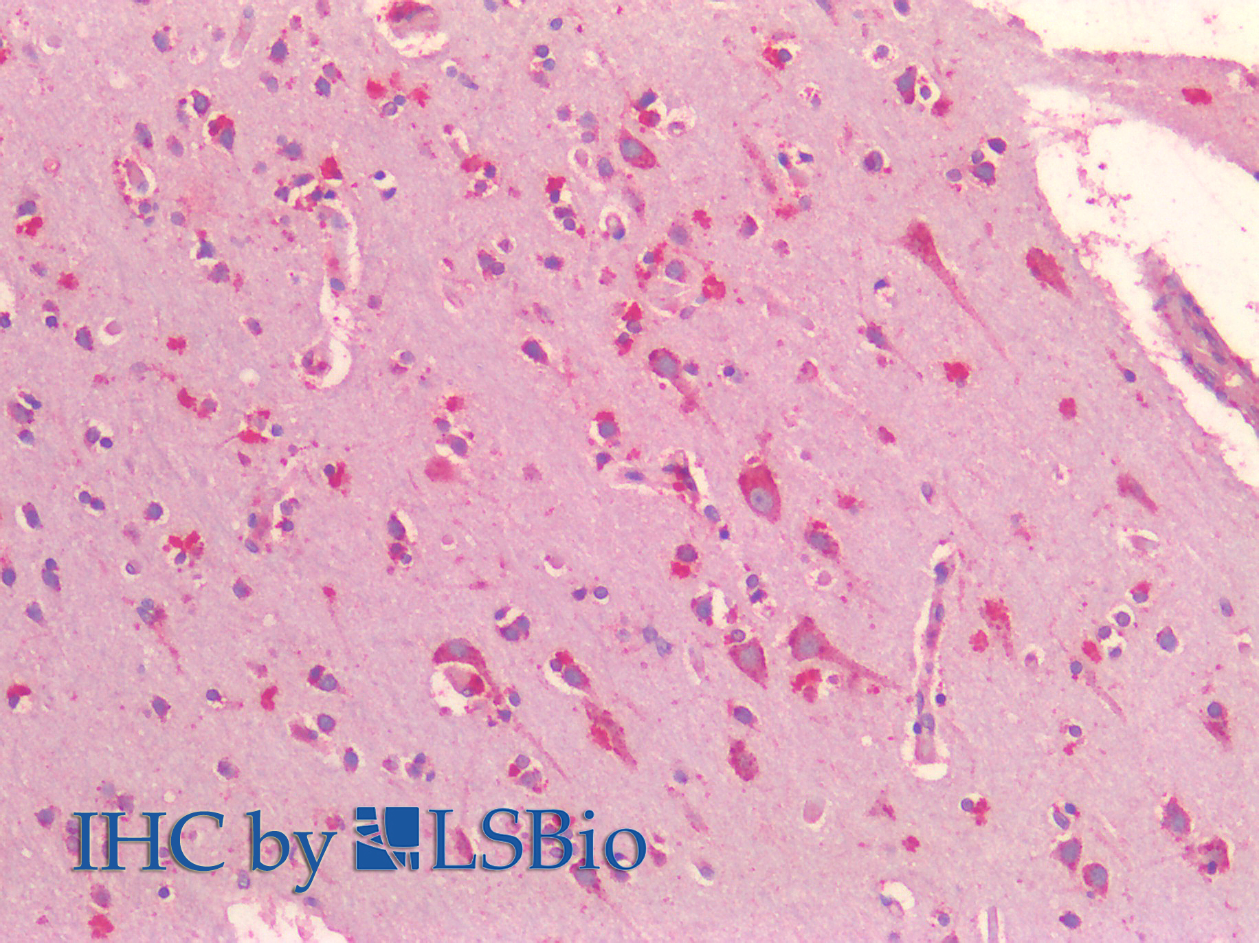
IHC Results Paraffin embedded Human Brain (Cortex). Recommended concentration: 5µg/ml. | |
ELISA Detection Limit Antibody detection limit dilution 1:16000. | |
Western Blot Approx 75kDa band observed in lysates of cell lines HepG2 and MCF7 and in Mouse Liver lysates, and approx. 80kDa band in Mouse Testis and Rat Brain lysates (calculated MW of 72.3kDa according to Human NP_005338.1, Mouse NP_071705.3 and Rat NP_037215.1). This molecular weight is routinely observed by other sources. Recommended concentration: 0.3-1µg/ml. Primary incubation was 1 hour. | |
Application Type Pep-ELISA, WB, IHC, IF |
Goat Anti-HSPA5 / GRP78 Antibody
$464.00
| SKU | Unit Size | Price |
|---|---|---|
Select a unit size:
Documents |




