Formulation Supplied at 0.5 mg/ml in Tris saline, 0.02% sodium azide, pH7.3 with 0.5% bovine serum albumin.
| |
Unit Size 100 µg | |
Storage Instructions Aliquot and store at -20°C. Minimize freezing and thawing. | |
Synonym / Alias Names uncharacterized bone marrow protein BM034|lipopolysaccharide-associated protein|71-kDa|heat shock cognate protein|heat shock cognate protein 54|heat shock 70kd protein 10|heat shock 70kD protein 8|constitutive heat shock protein 70|N-myristoyltransferase inhibitor protein 71|LPS-associated protein 1|NIP71|MGC29929|MGC131511|LAP|HSPA10|HSP73|HSP71|HSC71|HSC70|HSC54|heat shock 70kDa protein 8|HSPA8 | |
Usage Summary Immunofluorescence: Strong expression of the protein seen in the cytoplasm of HeLa cells. Recommended concentration: 10µg/ml | |
Accession ID NP_006588.1 | |
Blocking Peptide EBP07295 | |
Immunogen Peptide with sequence C-EKLQGKINDEDKQK, from the internal region of the protein sequence according to NP_006588.1. | |
Product Comments This antibody is expected to recognise isoform 1 (NP_006588.1) only. | |
Peptide Sequence C-EKLQGKINDEDKQK | |
Purification Method Purified from goat serum by ammonium sulphate precipitation followed by antigen affinity chromatography using the immunizing peptide. | |
Shipping Instructions Refrigerated | |
Predicted Species Human, Mouse, Rat, Dog | |
Reactive Species Human, Mouse | |
Human Gene ID 3312 | |
Mouse Gene ID 15481 | |
Rat Gene ID 24468 | |
Product Grade ![]() | |
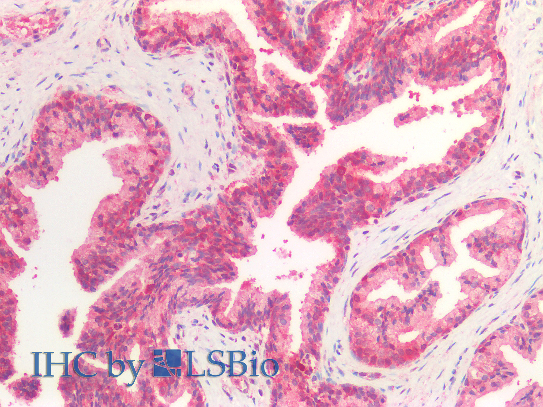
IHC Results Paraffin embedded Human Prostate. Recommended concentration: 5µg/ml. | |
ELISA Detection Limit Antibody detection limit dilution 1:4000. | |
Western Blot Approx 75kDa band observed in lysates of cell lines HepG2 and NIH3T3 (calculated MW of 70.9kDa according to Human NP_006588.1 and Mouse NP_112442.2). This molecular weight is routinely observed by other sources. Recommended concentration: 0.03-0.1µg/ml. Primary incubation 1 hour at room temperature. | |
Application Type Pep-ELISA, WB, IF, IHC |
Goat Anti-HSPA8 (Isoform 1) Antibody
$464.00
| SKU | Unit Size | Price |
|---|---|---|
Select a unit size:
Documents |



