Formulation Supplied at 0.5 mg/ml in Tris saline, 0.02% sodium azide, pH7.3 with 0.5% bovine serum albumin.
| |
Unit Size 100 µg | |
Storage Instructions Aliquot and store at -20°C. Minimize freezing and thawing. | |
Synonym / Alias Names novel protein HSPC117| hypothetical protein LOC51493| RP1-149A16.6| DJ149A16.6| chromosome 22 open reading frame 28|C22orf28 | |
Accession ID NP_055121.1 | |
Blocking Peptide EBP10955 | |
Immunogen Peptide with sequence C-RLLRTNLDESDVQP, from the internal region of the protein sequence according to NP_055121.1. | |
Peptide Sequence C-RLLRTNLDESDVQP | |
Purification Method Purified from goat serum by ammonium sulphate precipitation followed by antigen affinity chromatography using the immunizing peptide. | |
Shipping Instructions Refrigerated | |
Predicted Species Human, Mouse, Cow | |
Reactive Species Human | |
Human Gene ID 51493 | |
Mouse Gene ID 28088 | |
Rat Gene ID 362855 | |
Product Grade ![]() | |
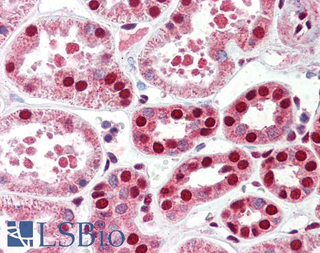
IHC Results Paraffin embedded Human Kidney. Recommended concentration: 5µg/ml. | |
ELISA Detection Limit Antibody detection limit dilution 1:64000. | |
Western Blot Approx 55kDa band observed in lysates of cell line Jurkat (calculated MW of 55.2kDa according to NP_055121.1). Recommended concentration: 0.05-0.2µg/ml. | |
Application Type Pep-ELISA, WB, IHC |
Goat Anti-HSPC117 (aa125-138) Antibody
$431.00
| SKU | Unit Size | Price |
|---|---|---|
Select a unit size:
Documents |


