Formulation Supplied at 0.5 mg/ml in Tris saline, 0.02% sodium azide, pH7.3 with 0.5% bovine serum albumin.
| |
Unit Size 100 µg | |
Storage Instructions Aliquot and store at -20°C. Minimize freezing and thawing. | |
Synonym / Alias Names novel protein HSPC117| hypothetical protein LOC51493| RP1-149A16.6| DJ149A16.6| chromosome 22 open reading frame 28|C22orf28 | |
Usage Summary Immunofluorescence: Strong expression of the protein seen in A431 cells. Recommended concentration: 10µg/ml.
Flow Cytometry: Flow cytometric analysis of A431 cells. Recommended concentration: 10ug/ml. | |
Accession ID NP_055121.1 | |
Blocking Peptide EBP10954 | |
Immunogen Peptide with sequence C-QADPNKVSARAKKR, from the internal region of the protein sequence according to NP_055121.1. | |
Peptide Sequence C-QADPNKVSARAKKR | |
Purification Method Purified from goat serum by ammonium sulphate precipitation followed by antigen affinity chromatography using the immunizing peptide. | |
Shipping Instructions Refrigerated | |
Predicted Species Human, Mouse, Rat, Dog, Pig, Cow | |
Reactive Species Human | |
Human Gene ID 51493 | |
Mouse Gene ID 28088 | |
Rat Gene ID 362855 | |
Product Grade ![]() | |
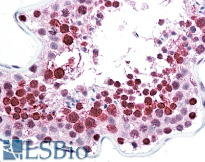
IHC Results In paraffin embedded Human Testis shows nuclear and vicinity staining in spermatogonia. Recommended concentration: 5-10µg/ml. | |
ELISA Detection Limit Antibody detection limit dilution 1:64000. | |
Western Blot Approx. 55kDa band observed in lysates of cell lines Jurkat, HeLa, HepG2 and A431 and in Human Cerebellum and Ovary lysates (calculated MW of 55.2kDa according to NP_055121.1). Recommended concentration: 0.01-0.03µg/ml. Primary incubation 1 hour at room temperature. | |
Application Type Pep-ELISA, WB, IHC, IF, FC |
Goat Anti-HSPC117 (aa201-215) Antibody
$431.00
| SKU | Unit Size | Price |
|---|---|---|
Select a unit size:
Selected References [{"pmid": 30377371, "intro": "This antibody has been successfully used in the following paper:", "title": "A high-throughput pipeline for validation of antibodies", "author": "Krzysztof Sikorski, Adi Mehta, Marit Inngjerdingen, Flourina Thakor, Simon Kling, Tomas Kalina, Tuula A. Nyman, Maria Ekman Stensland, Wei Zhou, Gustavo A. De Souza, Lars Holden, Jan Stuchly, Markus Templin and Fridtjof Lund-Johansen", "journal": "Nat Methods. 2018 Nov;15(11):909-912"}] |
Documents |





