Formulation Supplied at 0.5 mg/ml in Tris saline, 0.02% sodium azide, pH7.3 with 0.5% bovine serum albumin.
| |
Unit Size 100 µg | |
Storage Instructions Aliquot and store at -20°C. Minimize freezing and thawing. | |
Synonym / Alias Names inducible costimulator|activation-inducible lymphocyte immunomediatory molecule|MGC39850|CD278|AILIM|inducible T-cell co-stimulator|ICOS | |
Accession ID NP_036224.1 | |
Blocking Peptide EBP09484 | |
Immunogen Peptide with sequence KGGQILCDLTKTKGS, from the internal region of the protein sequence according to NP_036224.1. | |
Peptide Sequence KGGQILCDLTKTKGS | |
Purification Method Purified from goat serum by ammonium sulphate precipitation followed by antigen affinity chromatography using the immunizing peptide. | |
Shipping Instructions Refrigerated | |
Predicted Species Human | |
Reactive Species Human | |
Human Gene ID 29851 | |
Mouse Gene ID 54167 | |
Product Grade ![]() | |
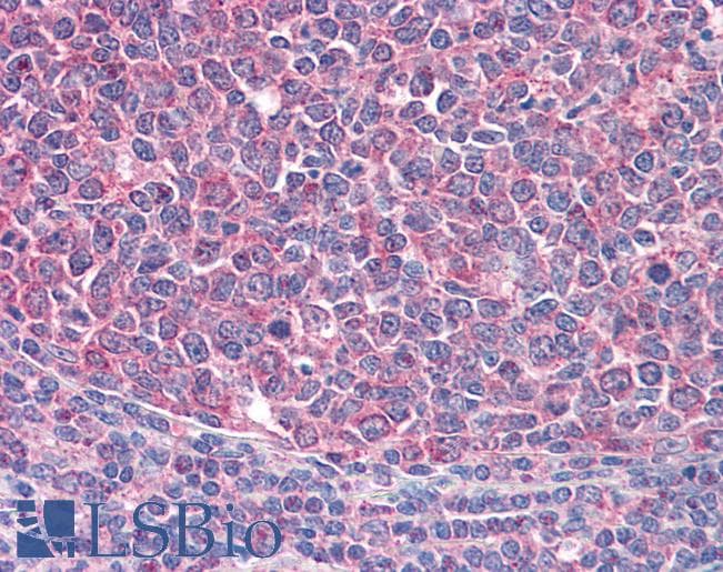
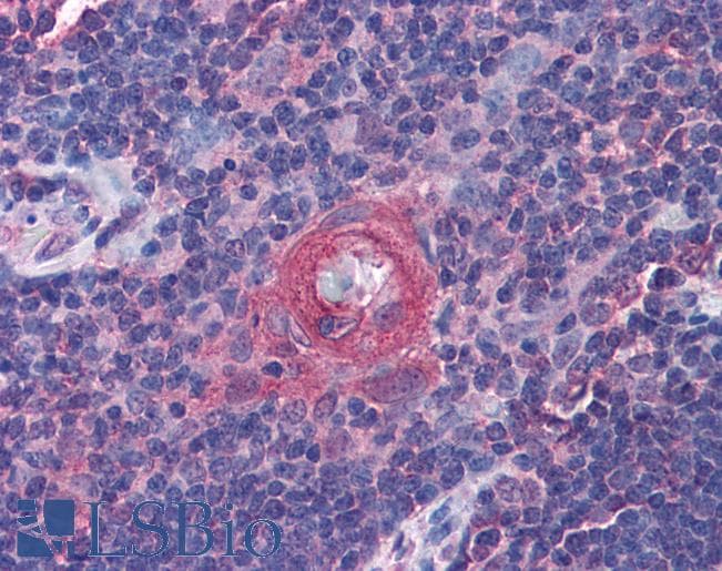
IHC Results In paraffin embedded Human Lymph Node shows membrane staining just outside the mantle zone of the Germinal Centre. Recommended concentration: 1-2µg/ml. Paraffin embedded Human Tonsil and Thymus. Recommended concentration: 3.75µg/ml. | |
ELISA Detection Limit Antibody detection limit dilution 1:32000. | |
Western Blot Preliminary experiments gave an approx 13kDa band in Human Peripheral Blood Lymphocyte lysates after 0.01µg/ml antibody staining. Please note that currently we cannot find an explanation in the literature for the band we observe given the calculated size of 22.6kDa according to NP_036224.1. The 13kDa band was successfully blocked by incubation with the immunizing peptide. | |
Application Type Pep-ELISA, IHC |
Goat Anti-ICOS Antibody
$431.00
| SKU | Unit Size | Price |
|---|---|---|
Select a unit size:
Documents |




