Formulation Supplied at 0.5 mg/ml in Tris saline, 0.02% sodium azide, pH7.3 with 0.5% bovine serum albumin.
| |
Unit Size 100 µg | |
Storage Instructions Aliquot and store at -20°C. Minimize freezing and thawing. | |
Synonym / Alias Names IFNARB|IFNABR|IFN-alpha-REC|IFN-R|interferon (alpha, beta and omega) receptor 2|IFNAR2 | |
Usage Summary Flow Cytometry: Flow cytometric analysis of K562 cells. Recommended concentration: 10ug/ml. | |
Accession ID NP_000865.2 ; NP_997467.1; NP_997468.1 | |
Blocking Peptide EBP08349 | |
Immunogen Peptide with sequence SYDSPDYTDESCT, from the internal region of the protein sequence according to NP_000865.2 ; NP_997467.1; NP_997468.1 . | |
Product Comments This antibody is expected to recognise all three reported isoforms (NP_000865.2 ; NP_997467.1; NP_997468.1 ) | |
Peptide Sequence SYDSPDYTDESCT | |
Purification Method Purified from goat serum by ammonium sulphate precipitation followed by antigen affinity chromatography using the immunizing peptide. | |
Shipping Instructions Refrigerated | |
Predicted Species Human | |
Reactive Species Human | |
Human Gene ID 3455 | |
Product Grade ![]() | |
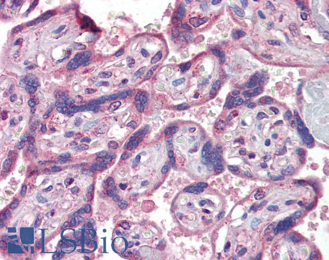
IHC Results Paraffin embedded Human Prostate and Placenta. Recommended concentration: 5µg/ml. | |
ELISA Detection Limit Antibody detection limit dilution 1:32000. | |
Western Blot Preliminary experiments gave an approx 28kDa band in Human Uterus lysates after 0.2µg/ml antibody staining. Please note that currently we cannot find an explanation in the literature for the band we observe given the calculated size of 37.4kDa according to NP_000865.2. The 28kDa band was successfully blocked by incubation with the immunizing peptide. | |
Application Type Pep-ELISA, FC, IHC |
Goat Anti-IFNAR2 Antibody
$464.00
| SKU | Unit Size | Price |
|---|---|---|
Select a unit size:
Documents |



