Formulation Supplied at 0.5 mg/ml in Tris saline, 0.02% sodium azide, pH7.3 with 0.5% bovine serum albumin.
| |
Unit Size 100 µg | |
Storage Instructions Aliquot and store at -20°C. Minimize freezing and thawing. | |
Synonym / Alias Names IGF1|OTTHUMP00000195084|insulin-like growth factor 1 (somatomedin C)|insulin-like growth factor 1|IGFI|IGF1A | |
Usage Summary Immunofluorescence: Strong expression of the protein seen in the cytoplasm of HEK293 cells. Recommended concentration: 10µg/ml.
Flow Cytometry: Flow cytometric analysis of A549 cells. Recommended concentration: 10ug/ml. | |
Accession ID NP_001104753.1; NP_001104754.1; NP_001104755.1; NP_000609.1 | |
Blocking Peptide EBP10358 | |
Immunogen Peptide with sequence C-RSVRAQRHTD, from the internal region of the protein sequence according to NP_001104753.1; NP_001104754.1; NP_001104755.1; NP_000609.1. | |
Product Comments This antibody is expected to recognize all reported isoforms (NP_001104753.1; NP_001104754.1; NP_001104755.1; NP_000609.1). | |
Peptide Sequence C-RSVRAQRHTD | |
Purification Method Purified from goat serum by ammonium sulphate precipitation followed by antigen affinity chromatography using the immunizing peptide. | |
Shipping Instructions Refrigerated | |
Predicted Species Human, Mouse, Rat, Dog, Cow, Pig | |
Reactive Species Human | |
Human Gene ID 3479 | |
Mouse Gene ID 16000 | |
Rat Gene ID 24482 | |
Product Grade ![]() | |
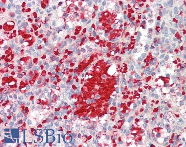
IHC Results Paraffin embedded Human Spleen. Recommended concentration: 3.75µg/ml. | |
ELISA Detection Limit Antibody detection limit dilution 1:32000. | |
Western Blot Approx 15kDa band observed in Human Uterus lysates (calculated MW of 15.2kDa according to NP_001104754.1). Recommended concentration 0.5-2µg/ml. Primary incubation 1 hour at room temperature. Negative Control: HepG2 cell lysate. Preliminary testing was unsuccessful on Mouse and Rat for this particular batch. | |
Application Type Pep-ELISA, WB, IHC, IF, FC |
Goat Anti-IGF1 Antibody
$431.00
| SKU | Unit Size | Price |
|---|---|---|
Select a unit size:
Selected References [{"pmid": 31682800, "intro": "This antibody has been successfully used in Western blot on Rat:", "title": "Ligustrazine prevents basilar artery remodeling in two-kidney-two-clip renovascular hypertension rats via suppressing PI3K/Akt signaling", "author": "Zhang B, Zhang Y, Deng F, Fang S", "journal": "Microvascular Research, Volume 128, March 2020, 103938"}] |
Documents |




