Formulation Supplied at 0.5 mg/ml in Tris saline, 0.02% sodium azide, pH7.3 with 0.5% bovine serum albumin.
| |
Unit Size 100 µg | |
Storage Instructions Aliquot and store at -20°C. Minimize freezing and thawing. | |
Synonym / Alias Names IGFBP1|insulin-like growth factor binding protein 1|AFBP|IBP1|IGF-BP25|PP12|hIGFBP-1|IBP-1|IGF-binding protein 1|IGFBP-1|OTTHUMP00000159561|OTTHUMP00000207990|OTTHUMP00000214348|alpha-pregnancy-associated endometrial globulin|amniotic fluid binding protein|binding protein-25|binding protein-26|binding protein-28|growth hormone independent-binding protein|insulin-like growth factor-binding protein 1|placental protein 12 | |
Accession ID NP_000587.1 | |
Blocking Peptide EBP11950 | |
Immunogen Peptide with sequence RIPGSPEIRGDPNCQ, from the C Terminus of the protein sequence according to NP_000587.1. | |
Peptide Sequence RIPGSPEIRGDPNCQ | |
Purification Method Purified from goat serum by ammonium sulphate precipitation followed by antigen affinity chromatography using the immunizing peptide. | |
Shipping Instructions Refrigerated | |
Predicted Species Human | |
Reactive Species Human | |
Human Gene ID 3484 | |
Product Grade ![]() | |
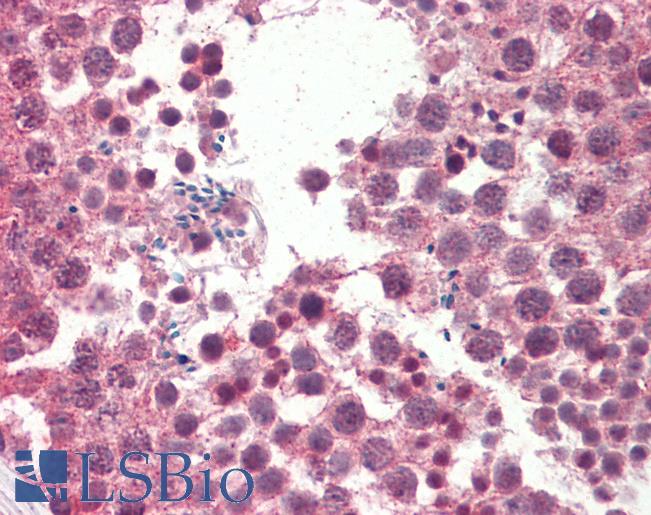
IHC Results Paraffin embedded Human Testis. Recommended concentration: 5µg/ml. | |
ELISA Detection Limit Antibody detection limit dilution 1:128000. | |
Western Blot Approx 30kDa band observed in Human Placenta lysates (calculated MW of 27.9kDa according to NP_000587.1). Recommended concentration: 0.1-0.3µg/ml. Primary incubation was 1 hour. | |
Application Type Pep-ELISA, WB, IHC |
Goat Anti-IGFBP1 Antibody
$431.00
| SKU | Unit Size | Price |
|---|---|---|
Select a unit size:
Documents |


