Formulation Supplied at 0.5 mg/ml in Tris saline, 0.02% sodium azide, pH7.3 with 0.5% bovine serum albumin.
| |
Unit Size 100 µg | |
Storage Instructions Aliquot and store at -20°C. Minimize freezing and thawing. | |
Synonym / Alias Names PSF|MAC25|IGFBP-7v|IGFBP-7|FSTL2|insulin-like growth factor binding protein 7|IGFBP7 | |
Accession ID NP_001544.1 | |
Blocking Peptide EBP08514 | |
Immunogen Peptide with sequence C-NKVKRGHYGVQRTE, from the internal region of the protein sequence according to NP_001544.1 . | |
Peptide Sequence C-NKVKRGHYGVQRTE | |
Purification Method Purified from goat serum by ammonium sulphate precipitation followed by antigen affinity chromatography using the immunizing peptide. | |
Shipping Instructions Refrigerated | |
Predicted Species Human, Cow | |
Reactive Species Human | |
Human Gene ID 3490 | |
Product Grade ![]() | |
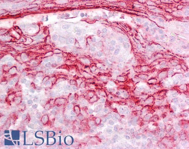
IHC Results Paraffin embedded Human Tonsil and Pancreas. Recommended concentration: 2.5µg/ml. | |
ELISA Detection Limit Antibody detection limit dilution 1:16000. | |
Western Blot Preliminary experiments gave an approx 50kDa band in Human Kidney, Spleen, Ovary, Prostate and Testis lysates after 0.5µg/ml antibody staining. Please note that currently we cannot find an explanation in the literature for the band we observe given the calculated size of 29.1kDa according to NP_001544.1. The 50kDa band was successfully blocked by incubation with the immunizing peptide. | |
Application Type Pep-ELISA, IHC |
Goat Anti-IGFBP7 (aa194-207) Antibody
$431.00
| SKU | Unit Size | Price |
|---|---|---|
Select a unit size:
Documents |


