Formulation Supplied at 0.5 mg/ml in Tris saline, 0.02% sodium azide, pH7.3 with 0.5% bovine serum albumin.
| |
Unit Size 100 µg | |
Storage Instructions Aliquot and store at -20°C. Minimize freezing and thawing. | |
Synonym / Alias Names iron regulatory protein 2|IRP2AD|IRP2|FLJ23381|ACO3|iron-responsive element binding protein 2|IREB2 | |
Accession ID NP_004127.1 | |
Blocking Peptide EBP09488 | |
Immunogen Peptide with sequence C-SIHYEGSEYKLSHGS, from the internal region of the protein sequence according to NP_004127.1. | |
Peptide Sequence C-SIHYEGSEYKLSHGS | |
Purification Method Purified from goat serum by ammonium sulphate precipitation followed by antigen affinity chromatography using the immunizing peptide. | |
Shipping Instructions Refrigerated | |
Predicted Species Human, Mouse, Rat | |
Reactive Species Human | |
Human Gene ID 3658 | |
Mouse Gene ID 64602 | |
Rat Gene ID 64831 | |
Product Grade ![]() | |
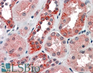
IHC Results In paraffin embedded Human Kidney shows preferential staining in the cytoplasm of DCT. Recommended concentration, 3-6µg/ml. | |
ELISA Detection Limit Antibody detection limit dilution 1:32000. | |
Western Blot Approx 110kDa band observed in Human Liver lysates (calculated MW of 105kDa according to NP_004127.1). Recommended concentration: 1-3µg/ml. An additional band of unknown identity was also consistently observed at 60kDa. This band was confirmed as a breakdown product in aged purified recombinant protein by a free sample recipient. | |
Application Type Pep-ELISA, WB, IHC |
Goat Anti-IREB2 / IRP2 Antibody
$431.00
| SKU | Unit Size | Price |
|---|---|---|
Select a unit size:
Selected References [{"pmid": 29652073, "intro": "This antibody has been successfully used in Western blot on Human:", "title": "The iron regulatory proteins are defective in repressing translation via exogenous 5' iron responsive elements despite their relative abundance in leukemic cellular models", "author": "Emmanuel Pourcelot, Marine Le´non, Peggy Charbonnier, Fiona Louis, Pascal Mossuz and Jean-Marc Moulis", "journal": "Metallomics, 2018, 10, 639"}] |
Documents |


