Formulation Supplied at 0.5 mg/ml in Tris saline, 0.02% sodium azide, pH7.3 with 0.5% bovine serum albumin.
| |
Unit Size 100 µg | |
Storage Instructions Aliquot and store at -20°C. Minimize freezing and thawing. | |
Synonym / Alias Names IRF4| MUM1| multiple myeloma oncogene 1| LSIRF| interferon regulatory factor 4 | |
Usage Summary Flow Cytometry: Flow cytometric analysis of A431 cells. Recommended concentration: 10ug/ml. | |
Accession ID NP_002451.2; NP_001182215.1 | |
Blocking Peptide EBP11331 | |
Immunogen Peptide with sequence C-DPQRQRKLITAHVEP, from the internal region (near C Terminus) of the protein sequence according to NP_002451.2; NP_001182215.1. | |
Product Comments This antibody is expected to recognize both reported isoforms ( | |
Peptide Sequence C-DPQRQRKLITAHVEP | |
Purification Method Purified from goat serum by ammonium sulphate precipitation followed by antigen affinity chromatography using the immunizing peptide. | |
Shipping Instructions Refrigerated | |
Predicted Species Human, Mouse, Rat, Dog, Cow | |
Reactive Species Human, Rat | |
Human Gene ID 3662 | |
Mouse Gene ID 16364 | |
Rat Gene ID 291100 | |
Product Grade ![]() | |
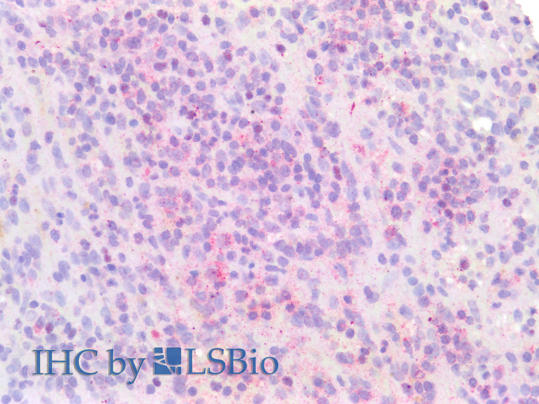
IHC Results Paraffin embedded Human Spleen. Recommended concentration: 5µg/ml. | |
ELISA Detection Limit Antibody detection limit dilution 1:16000. | |
Western Blot Approx 55kDa band observed in Human Spleen and approx 52kDa in Rat Spleen lysates (calculated MW of 51.8kDa according to Human NP_002451.2 and 51.6kDa according to Human NP_001182215.1 and Rat NP_001099578.1). Recommended concentration: 0.1-0.3ug/ml. Primary incubation 1 hour at room temperature. | |
Application Type Pep-ELISA, WB, IHC, FC |
Goat Anti-IRF4 (aa393-407) Antibody
$431.00
| SKU | Unit Size | Price |
|---|---|---|
Select a unit size:
Documents |



