Formulation Supplied at 0.5 mg/ml in Tris saline, 0.02% sodium azide, pH7.3 with 0.5% bovine serum albumin.
| |
Unit Size 100 µg | |
Storage Instructions Aliquot and store at -20°C. Minimize freezing and thawing. | |
Synonym / Alias Names neutrophil adherence receptor alpha-M subunit|macrophage antigen alpha polypeptide|CD11b (p170), macrophage antigen alpha polypeptide|integrin, alpha M (complement component receptor 3, alpha)|integrin alpha M|complement component receptor 3, alpha|antigen CD11b (p170)|macrophage antigen, alpha polypeptide|antigen CD11B (p170)|Integrin, alpha-M (complement component receptor-3, alpha)|MO1A|MGC117044|MAC1A|MAC-1|CR3A|CD11B|integrin, alpha M (complement component 3 receptor 3 subunit)|ITGAM | |
Usage Summary Immunofluorescence: Strong expression of the protein seen in the plasma membrane and cytoplasm of U937 and THP-1 cells. Recommended concentration: 10µg/ml. | |
Accession ID NP_000623.2 | |
Blocking Peptide EBP07825 | |
Immunogen Peptide with sequence C-RNDGEDSYRTQ, from the internal region of the protein sequence according to NP_000623.2 . | |
Product Comments The immunizing peptide represents part of the extra-cellular domain. | |
Peptide Sequence C-RNDGEDSYRTQ | |
Purification Method Purified from goat serum by ammonium sulphate precipitation followed by antigen affinity chromatography using the immunizing peptide. | |
Shipping Instructions Refrigerated | |
Predicted Species Human | |
Reactive Species Human | |
Human Gene ID 3684 | |
Mouse Gene ID 16409 | |
Rat Gene ID 25021 | |
Product Grade ![]() | |
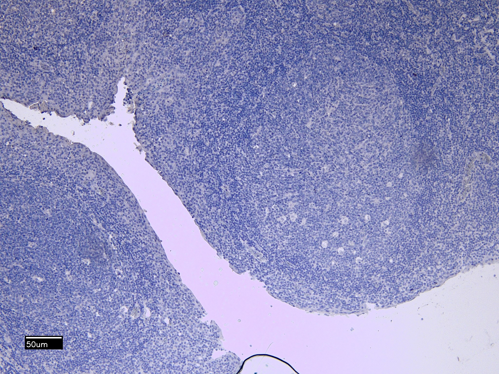
IHC Results Paraffin embedded Human Tonsil. Recommended concentration: 6-8µg/ml. | |
ELISA Detection Limit Antibody detection limit dilution 1:16000. | |
Application Type Pep-ELISA, IF, IHC |
Goat Anti-ITGAM / CD11B Antibody
$431.00
| SKU | Unit Size | Price |
|---|---|---|
Select a unit size:
Documents |




