Formulation Supplied at 0.5 mg/ml in Tris saline, 0.02% sodium azide, pH7.3 with 0.5% bovine serum albumin.
| |
Unit Size 100 µg | |
Storage Instructions Aliquot and store at -20°C. Minimize freezing and thawing. | |
Synonym / Alias Names IP3R2|HGNC:6181|inositol 1, 4, 5-triphosphate receptor, type 2|ITPR2 | |
Accession ID NP_002214.2 | |
Blocking Peptide EBP07063 | |
Immunogen Peptide with sequence C-PIEESNILSPVQD, from the internal region of the protein sequence according to NP_002214.2. | |
Product Comments No cross-reactivity expected with other types of ITPR. | |
Peptide Sequence C-PIEESNILSPVQD | |
Purification Method Purified from goat serum by ammonium sulphate precipitation followed by antigen affinity chromatography using the immunizing peptide. | |
Shipping Instructions Refrigerated | |
Predicted Species Human, Mouse, Rat, Dog, Cow | |
Reactive Species Human | |
Human Gene ID 3709 | |
Mouse Gene ID 16439 | |
Rat Gene ID 81678 | |
Product Grade ![]() | |
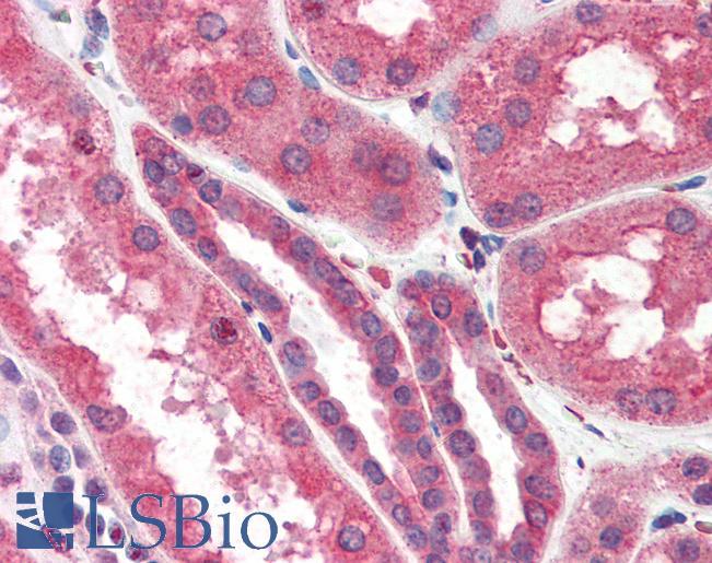
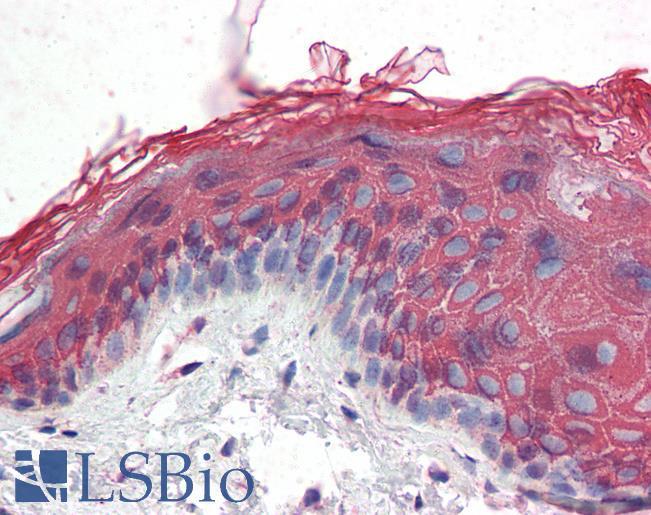
IHC Results Paraffin embedded Human Kidney, Skin and Heart. Recommended concentration: 3.75µg/ml. | |
ELISA Detection Limit Antibody detection limit dilution 1:128000. | |
Western Blot Preliminary experiments gave an approx 28-30kDa band in Human Heart lysates after 0.1µg/ml antibody staining. Please note that currently we cannot find an explanation in the literature for the band we observe given the calculated size of 308kDa according to NP_002214.2. The 28-30kDa band was successfully blocked by incubation with the immunizing peptide. | |
Application Type Pep-ELISA, IHC |
Goat Anti-ITPR2 Antibody
$431.00
| SKU | Unit Size | Price |
|---|---|---|
Select a unit size:
Documents |



