Formulation Supplied at 0.5 mg/ml in Tris saline, 0.02% sodium azide, pH7.3 with 0.5% bovine serum albumin.
| |
Unit Size 100 µg | |
Storage Instructions Aliquot and store at -20°C. Minimize freezing and thawing. | |
Synonym / Alias Names solute carrier family 12 (potassium/chloride transporter), member 6|potassium-chloride transporter-3b|potassium-chloride transporter-3a|potassium chloride cotransporter KCC3a-S3|K-Cl cotransporter 3|electroneutral potassium-chloride cotransporter 3|potassium chloride cotransporter 3|KCC3B|KCC3A|DKFZP434D2135|ACCPN|solute carrier family 12 (potassium/chloride transporters), member 6|KCC3|SLC12A6 | |
Accession ID NP_001035959.1; NP_001035960.1; NP_001035961.1; NP_001035962.1; NP_005126.1; NP_598408.1 | |
Blocking Peptide EBP08090 | |
Immunogen Peptide with sequence SRHIDVCSKTKE, from the internal region of the protein sequence according to NP_001035959.1; NP_001035960.1; NP_001035961.1; NP_001035962.1; NP_005126.1; NP_598408.1. | |
Product Comments This antibody is expected to recognise all reported isofoms (NP_598408.1; NP_005126.1; NP_001035959.1; NP_001035961.1; NP_001035962.1); Reported variants represent identicial protein: NP_001035959.1; NP_001035960.1 | |
Peptide Sequence SRHIDVCSKTKE | |
Purification Method Purified from goat serum by ammonium sulphate precipitation followed by antigen affinity chromatography using the immunizing peptide. | |
Shipping Instructions Refrigerated | |
Predicted Species Human | |
Reactive Species Human | |
Human Gene ID 9990 | |
Product Grade ![]() | |
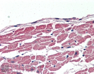
IHC Results In paraffin embedded Human Heart shows staining of myocardial fibrils in transverse section. Recommended concentration, 2-4µg/ml. | |
ELISA Detection Limit Antibody detection limit dilution 1:16000. | |
Western Blot Approx 120kDa band observed in Human Heart and Kidney lysates (calculated MW ranging 121-128kDa according to NP_598408.1; NP_005126.1; NP_001035959.1; NP_001035960.1; NP_001035961.1; NP_001035962.1). Recommended concentration: 0.1-0.3µg/ml. | |
Application Type Pep-ELISA, WB, IHC |
Goat Anti-KCC3 / SLC12A6 Antibody
$431.00
| SKU | Unit Size | Price |
|---|---|---|
Select a unit size:
Documents |


