Formulation Supplied at 0.5 mg/ml in Tris saline, 0.02% sodium azide, pH7.3 with 0.5% bovine serum albumin.
| |
Unit Size 100 µg | |
Storage Instructions Aliquot and store at -20°C. Minimize freezing and thawing. | |
Synonym / Alias Names KHK|ketohexokinase (fructokinase)|hepatic fructokinase|ketohexokinase | |
Accession ID NP_000212.1; NP_006479.1 | |
Blocking Peptide EBP12963 | |
Immunogen Peptide with sequence RCLSQRWQRGGNASN , from the internal region of the protein sequence according to NP_000212.1; NP_006479.1. | |
Product Comments This antibody is expected to recognize both reported isoforms (NP_000212.1; NP_006479.1). | |
Peptide Sequence RCLSQRWQRGGNASN | |
Purification Method Purified from goat serum by ammonium sulphate precipitation followed by antigen affinity chromatography using the immunizing peptide. | |
Shipping Instructions Refrigerated | |
Predicted Species Human, Mouse, Rat, Dog, Pig, Cow | |
Reactive Species Human, Mouse, Rat, Pig | |
Human Gene ID 3795 | |
Mouse Gene ID 16548 | |
Rat Gene ID 25659 | |
Product Grade ![]() | |
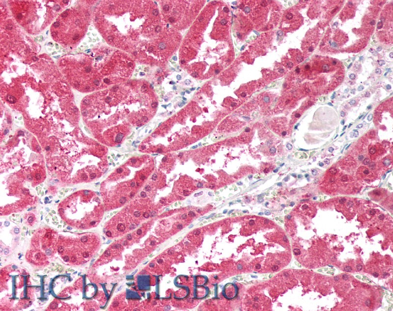
IHC Results Paraffin embedded Human Kidney. Recommended concentration: 5µg/ml. | |
ELISA Detection Limit Antibody detection limit dilution 1:128000. | |
Western Blot Approx 30kDa band observed in Human, Mouse, Rat and Pig Liver lysates (calculated MW of 32.7kDa according to Human NP_000212.1, Mouse NP_032465.2, Rat NP_114061.1 and of 32.6kDa according to Pig XP_003125348.1). Recommended concentration: 0.01-0.03µg/ml. Primary incubation was 1 hour. | |
Application Type Pep-ELISA, WB, IHC |
Goat Anti-Ketohexokinase Antibody
$431.00
| SKU | Unit Size | Price |
|---|---|---|
Select a unit size:
Documents |


