Formulation Supplied at 0.5 mg/ml in Tris saline, 0.02% sodium azide, pH7.3 with 0.5% bovine serum albumin.
| |
Unit Size 100 µg | |
Storage Instructions Aliquot and store at -20°C. Minimize freezing and thawing. | |
Synonym / Alias Names KIF6|kinesin family member 6|C6orf102|DKFZp451I2418|MGC33317|dJ1043E3.1|dJ137F1.4|dJ188D3.1|OTTHUMP00000016349|OTTHUMP00000039712 | |
Accession ID NP_659464.3 | |
Blocking Peptide EBP08880 | |
Immunogen Peptide with sequence C-DPDQNIHLKNLTLH, from the internal region of the protein sequence according to NP_659464.3. | |
Peptide Sequence C-DPDQNIHLKNLTLH | |
Purification Method Purified from goat serum by ammonium sulphate precipitation followed by antigen affinity chromatography using the immunizing peptide. | |
Shipping Instructions Refrigerated | |
Predicted Species Human, Mouse | |
Reactive Species Human | |
Human Gene ID 221458 | |
Mouse Gene ID 319991 | |
Product Grade ![]() | |
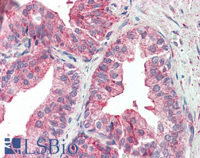
IHC Results Paraffin embedded Human Prostate and Kidney. Recommended concentration: 5µg/ml. | |
ELISA Detection Limit Antibody detection limit dilution 1:32000. | |
Western Blot Preliminary experiments gave an approx. 140kDa band in Human Heart lysates after 0.5µg/ml antibody staining. Please note that currently we cannot find an explanation in the literature for the band we observe given the calculated size of 92.6kDa according to NP_659464.3. The 140kDa band was successfully blocked by incubation with the immunizing peptide. | |
Application Type Pep-ELISA, IHC |
Goat Anti-KIF6 Antibody
$431.00
| SKU | Unit Size | Price |
|---|---|---|
Select a unit size:
Documents |


