Formulation Supplied at 0.5 mg/ml in Tris saline, 0.02% sodium azide, pH7.3 with 0.5% bovine serum albumin.
| |
Unit Size 100 µg | |
Storage Instructions Aliquot and store at -20°C. Minimize freezing and thawing. | |
Synonym / Alias Names KNG1|kininogen 1|BDK|KNG|HMWK|alpha-2-thiol proteinase inhibitor|bradykinin|fitzgerald factor|high molecular weight kininogen|kininogen-1|williams-Fitzgerald-Flaujeac factor | |
Accession ID NP_001095886.1; NP_000884.1; NP_001159923.1 | |
Blocking Peptide EBP12269 | |
Immunogen Peptide with sequence C-RITEATKTVGSDT, from the internal region (near N terminus) of the protein sequence according to NP_001095886.1; NP_000884.1; NP_001159923.1. | |
Product Comments This antibody is expected to recognize all reported isoforms (NP_001095886.1; NP_000884.1; NP_001159923.1). | |
Peptide Sequence C-RITEATKTVGSDT | |
Purification Method Purified from goat serum by ammonium sulphate precipitation followed by antigen affinity chromatography using the immunizing peptide. | |
Shipping Instructions Refrigerated | |
Predicted Species Human | |
Reactive Species Human | |
Human Gene ID 3827 | |
Product Grade ![]() | |
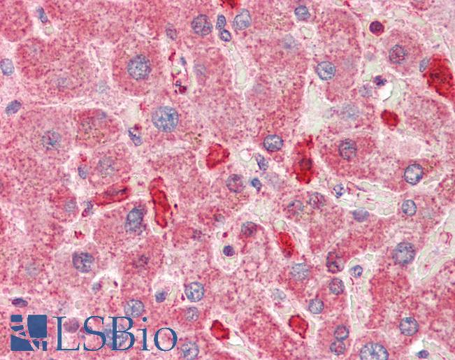
IHC Results Paraffin embedded Human Liver. Recommended concentration: 5µg/ml. | |
ELISA Detection Limit Antibody detection limit dilution 1:128000. | |
Western Blot Approx 80+60+30kDa bands observed in Human Kidney lysates (calculated MW of 72.0kDa according to NP_001095886.1). The observed MW bands are explained by glycosylation and the splitting into heavy and light chains from the precursor protein. Recommended concentration: 0.3-1µg/ml. Primary incubation was 1 hour. | |
Application Type Pep-ELISA, WB, IHC |
Goat Anti-kininogen 1 Antibody
$431.00
| SKU | Unit Size | Price |
|---|---|---|
Select a unit size:
Documents |


