Formulation Supplied at 0.5 mg/ml in Tris saline, 0.02% sodium azide, pH7.3 with 0.5% bovine serum albumin.
| |
Unit Size 100 µg | |
Storage Instructions Aliquot and store at -20°C. Minimize freezing and thawing. | |
Synonym / Alias Names proto-oncogene tyrosine-protein kinase Kit|piebald trait|mast/stem growth factor receptor|SCFR|PBT|CD117|C-Kit|v-kit Hardy-Zuckerman 4 feline sarcoma viral oncogene homolog|KIT | |
Usage Summary Immunofluorescence: Strong expression of the protein seen in the cytoplasm of HEK293 and in the membranes of NIH3T3 cells. Recommended concentration: 10µg/ml.
Flow Cytometry: Flow cytometric analysis of MCF7 cells. Recommended concentration: 10ug/ml. | |
Accession ID NP_000213.1; NP_001087241.1 | |
Blocking Peptide EBP08457 | |
Immunogen Peptide with sequence C-HHGDFNYERQAT , from the internal region of the protein sequence according to NP_000213.1; NP_001087241.1. | |
Product Comments This antibody is expected to recognise both reported isoforms (NP_000213.1; NP_001087241.1) | |
Peptide Sequence C-HHGDFNYERQAT | |
Purification Method Purified from goat serum by ammonium sulphate precipitation followed by antigen affinity chromatography using the immunizing peptide. | |
Shipping Instructions Refrigerated | |
Predicted Species Human | |
Reactive Species Human, Mouse | |
Human Gene ID 3815 | |
Product Grade ![]() | |
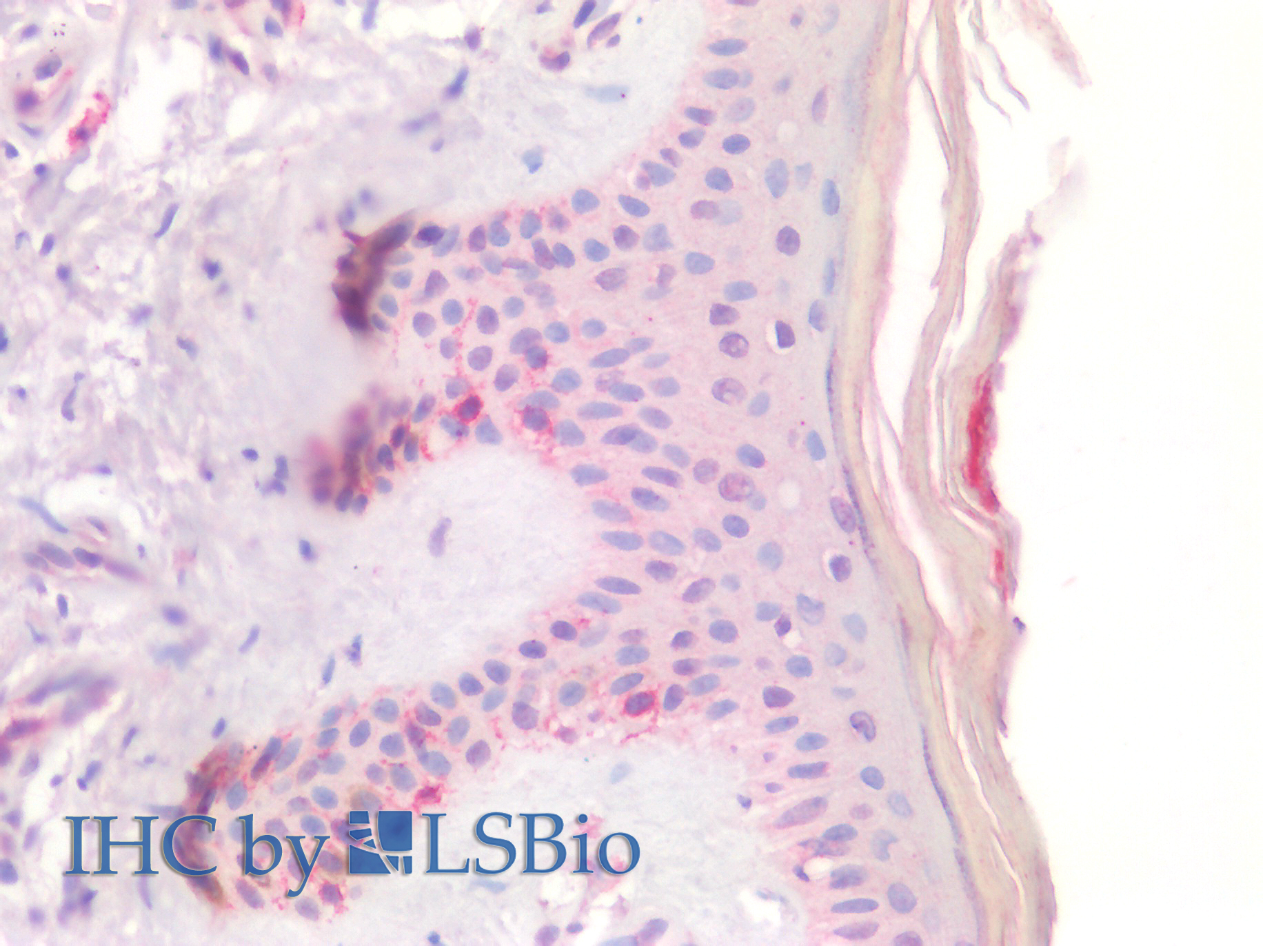
IHC Results Paraffin embedded Human Skin. Recommended concentration: 5µg/ml. | |
ELISA Detection Limit Antibody detection limit dilution 1:16000. | |
Application Type Pep-ELISA, IF, IHC, FC |
Goat Anti-KIT Antibody
$423.00
| SKU | Unit Size | Price |
|---|---|---|
Select a unit size:




