Formulation Supplied at 0.5 mg/ml in Tris saline, 0.02% sodium azide, pH7.3 with 0.5% bovine serum albumin.
| |
Unit Size 100 µg | |
Storage Instructions Aliquot and store at -20°C. Minimize freezing and thawing. | |
Synonym / Alias Names keratin, type I cytoskeletal 13|cytokeratin 13|MGC3781|MGC161462|K13|CK13|keratin 13|KRT13 | |
Accession ID NP_705694.2 | |
Blocking Peptide EBP09037 | |
Immunogen Peptide with sequence C-TSNASGRRTSDVRRP, from the C Terminus of the protein sequence according to NP_705694.2. | |
Product Comments This antibody is expected to recognize the reported isoform a (NP_002265.2) only. | |
Peptide Sequence C-TSNASGRRTSDVRRP | |
Purification Method Purified from goat serum by ammonium sulphate precipitation followed by antigen affinity chromatography using the immunizing peptide. | |
Shipping Instructions Refrigerated | |
Predicted Species Human | |
Reactive Species Human | |
Human Gene ID 3860 | |
Product Grade ![]() | |
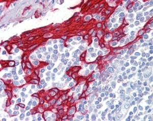
IHC Results In paraffin embedded Human Tonsil shows strong layered, filamentous staining. Recommended concentration, 2-4µg/ml. | |
ELISA Detection Limit Antibody detection limit dilution 1:128000. | |
Western Blot Approx. 55kDa band observed in Human Lung, Skeletal Muscle and Skin lysates (calculated MW of 49.6kDa according to NP_705694.2). The observed molecular weight corresponds to earlier findings in literature with different antibodies (Sajjan, Microbiology. 2003 Apr;149(Pt 4):961-71.; PMID: 12686638). Recommended concentration: 0.1-0.3µg/ml. | |
Application Type Pep-ELISA, WB, IHC |
Goat Anti-KRT13 Antibody
$431.00
| SKU | Unit Size | Price |
|---|---|---|
Select a unit size:
Documents |


