Formulation Supplied at 0.5 mg/ml in Tris saline, 0.02% sodium azide, pH7.3 with 0.5% bovine serum albumin.
| |
Unit Size 100 µg | |
Storage Instructions Aliquot and store at -20°C. Minimize freezing and thawing. | |
Synonym / Alias Names scavenger receptor class B member 2|LIMP II|CD36 antigen-like 2|85 kDa lysosomal membrane sialoglycoprotein|LIMP-2|LGP85|EPM4|lysosomal integral membrane protein II|CD36 antigen (collagen type I receptor, thrombospondin receptor)-like 2 (lysosomal integral membrane protein II)|85 kDa lysosomal sialoglycoprotein scavenger receptor class B, member 2|SR-BII|LIMPII|HLGP85|CD36L2|AMRF|scavenger receptor class B, member 2|SCARB2 | |
Usage Summary Immunofluorescence: Strong expression of the protein seen in the cytoplasm of U251 cells. Recommended concentration: 10µg/ml.
Flow Cytometry: Flow cytometric analysis of U251 cells. Recommended concentration: 10ug/ml. | |
Accession ID NP_005497.1 | |
Blocking Peptide EBP09295 | |
Immunogen Peptide with sequence C-NKANIQFGDNGTTIS, from the internal region of the protein sequence according to NP_005497.1. | |
Product Comments This antibody is expected to recognize reported isoform 1 (NP_005497.1) only. | |
Peptide Sequence C-NKANIQFGDNGTTIS | |
Purification Method Purified from goat serum by ammonium sulphate precipitation followed by antigen affinity chromatography using the immunizing peptide. | |
Shipping Instructions Refrigerated | |
Predicted Species Human | |
Reactive Species Human | |
Human Gene ID 950 | |
Mouse Gene ID 12492 | |
Product Grade ![]() | |
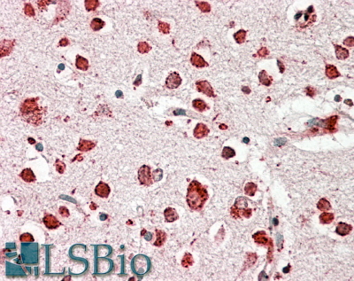
IHC Results In paraffin embedded Human Cerebral Cortex shows lysosomal staining. Recommended concentration: 3-5µg/ml. | |
ELISA Detection Limit Antibody detection limit dilution 1:4000. | |
Western Blot Approx. 80kDa band observed in Human Cerebral Cortex lysates and in preliminary testing of Human Thyroid lysate and U251 cell lysate (calculated MW of 54.3kDa according to NP_005497.1). This molecular weight is observed in the literature (Fujita et al, 1992, PMID: 1374238) and by other commercial sources. Recommended concentration: 0.03-0.1µg/ml. Primary incubation 1 hour at room temperature. This antibody has been successfully used in WB on Human: Murphy KE et al. (2014) PMID: 24477431. | |
Application Type Pep-ELISA, WB, IHC, IF, FC |
Goat Anti-LIMP2 / SCARB2 Antibody
$431.00
| SKU | Unit Size | Price |
|---|---|---|
Select a unit size:
Selected References [{"pmid": 24477431, "intro": "This antibody has been successfully used in Western blot on Human:", "title": "Reduced glucocerebrosidase is associated with increased ?-synuclein in sporadic Parkinson's disease.", "author": "Murphy KE, Gysbers AM, Abbott SK, Tayebi N, Kim WS, Sidransky E, Cooper A, Garner B, Halliday GM.", "journal": "Brain. 2014 Mar;137(Pt 3):834-48."}] |
Documents |




