Formulation Supplied at 0.5 mg/ml in Tris saline, 0.02% sodium azide, pH7.3 with 0.5% bovine serum albumin.
| |
Unit Size 100 µg | |
Storage Instructions Aliquot and store at -20°C. Minimize freezing and thawing. | |
Synonym / Alias Names MDS|LIS2|platelet-activating factor acetylhydrolase, isoform Ib, subunit 1 (45kDa)|platelet-activating factor acetylhydrolase, isoform Ib, alpha subunit (45kD)|Platelet-activating factor acetylhydrolase, isoform 1B, alpha subunit|lissencephaly 1 protein|PAFAH|MDCR|platelet-activating factor acetylhydrolase, isoform Ib, alpha subunit 45kDa|LIS1|PAFAH1B1 | |
Accession ID NP_000421.1 | |
Blocking Peptide EBP05439 | |
Immunogen Peptide with sequence TGSVDQTVKVWECR, from the C Terminus of the protein sequence according to NP_000421.1. | |
Peptide Sequence TGSVDQTVKVWECR | |
Purification Method Purified from goat serum by ammonium sulphate precipitation followed by antigen affinity chromatography using the immunizing peptide. | |
Shipping Instructions Refrigerated | |
Predicted Species Human, Rat | |
Reactive Species Human, Rat | |
Human Gene ID 5048 | |
Product Grade ![]() | |
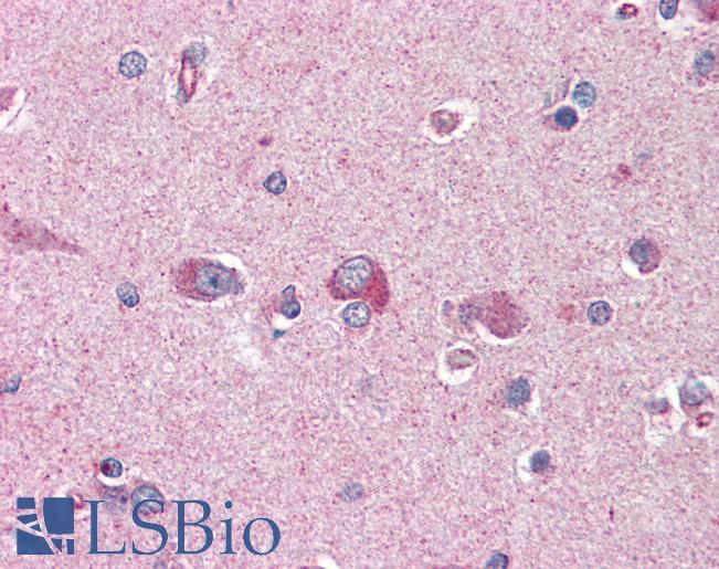
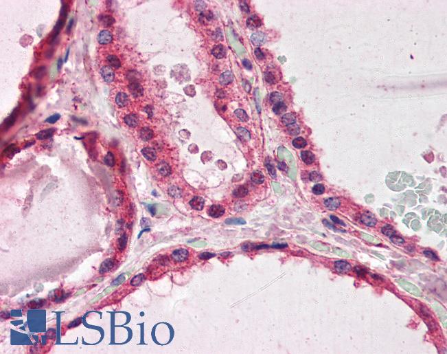
IHC Results Paraffin embedded Human Brain (Cortex), Thyroid and Pancreas. Recommended concentration: 3.75µg/ml. | |
ELISA Detection Limit Antibody detection limit dilution 1:32000. | |
Western Blot Approx 40kDa band observed in Human Lung and Brain (Cerebellum) and in Rat Ovary lysates (calculated MW of 46.6kDa according to Human NP_000421.1 and to Rat NP_113951.1). Recommended concentration: 0.3-1µg/ml. | |
Application Type Pep-ELISA, WB, IHC |
Goat Anti-LIS1 / PAFAH1B1 Antibody
$431.00
| SKU | Unit Size | Price |
|---|---|---|
Select a unit size:
Documents |




