Formulation Supplied at 0.5 mg/ml in Tris saline, 0.02% sodium azide, pH7.3 with 0.5% bovine serum albumin.
| |
Unit Size 100 µg | |
Storage Instructions Aliquot and store at -20°C. Minimize freezing and thawing. | |
Synonym / Alias Names LSP1|WP34|pp52|lymphocyte-specific protein 1|lymphocyte-specific ant|leukocyte-specific protein 1|leufactin (leukocyte F-actin binding protein)|F-actin binding and cytoskeleton associated protein|52 kDa phosphoprotein|47 kDa actin binding protein | |
Accession ID NP_002330.1; NP_001013271.1 | |
Blocking Peptide EBP09870 | |
Immunogen Peptide with sequence C-RYKFVATGHGKYEKV, from the C Terminus of the protein sequence according to NP_002330.1; NP_001013271.1. | |
Product Comments This antibody is expected to recognize both reported isoforms (NP_002330.1; NP_001013271.1). Reported variants represent identical protein: NP_001013273.1, NP_001013271.1, NP_001013272.1 | |
Peptide Sequence C-RYKFVATGHGKYEKV | |
Purification Method Purified from goat serum by ammonium sulphate precipitation followed by antigen affinity chromatography using the immunizing peptide. | |
Shipping Instructions Refrigerated | |
Predicted Species Human, Mouse, Rat, Dog, Cow | |
Reactive Species Human, Mouse | |
Human Gene ID 4046 | |
Mouse Gene ID 16331 | |
Rat Gene ID 54259 | |
Product Grade ![]() | |
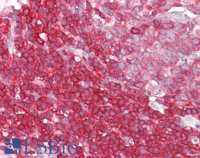
IHC Results Paraffin embedded Colon, MALT. Recommended concentration: 3.75µg/ml. | |
ELISA Detection Limit Antibody detection limit dilution 1:16000. | |
Western Blot Approx 50kDa band observed in Human Peripheral Blood Mononucleocytes, (PBMs) and Tonsil lysates and in lysates of cell line Daudi, and approx. 50-55kDa in Human Tonsil and Mouse Spleen lysates (calculated MW of 37.2kDa according to Human NP_002330.1 and 36.7kDa according to Mouse NP_001129543.1). These molecular weights are routinely observed by other sources Recommended concentration: 0.01-0.1µg/ml. Primary incubation 1 hour at room temperature. | |
Application Type Pep-ELISA, WB, IHC |
Goat Anti-LSP1 Antibody
$431.00
| SKU | Unit Size | Price |
|---|---|---|
Select a unit size:
Documents |




