Formulation Supplied at 0.5 mg/ml in Tris saline, 0.02% sodium azide, pH7.3 with 0.5% bovine serum albumin.
| |
Unit Size 100 µg | |
Storage Instructions Aliquot and store at -20°C. Minimize freezing and thawing. | |
Synonym / Alias Names talalactoferrin|neutrophil lactoferrin|lactoferrin|growth-inhibiting protein 12|LF|HLF2|GIG12|lactotransferrin|LTF | |
Accession ID NP_002334.2 | |
Blocking Peptide EBP08987 | |
Immunogen Peptide with sequence C-ENYKSQQSSDPDP, from the internal region of the protein sequence according to NP_002334.2. | |
Peptide Sequence C-ENYKSQQSSDPDP | |
Purification Method Purified from goat serum by ammonium sulphate precipitation followed by antigen affinity chromatography using the immunizing peptide. | |
Shipping Instructions Refrigerated | |
Predicted Species Human | |
Reactive Species Human | |
Human Gene ID 4057 | |
Product Grade ![]() | |
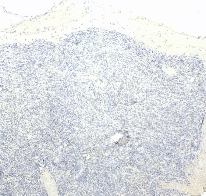
IHC Results Paraffin embedded Human Spleen. Recommended concentration: 4µg/ml. | |
ELISA Detection Limit Antibody detection limit dilution 1:16000. | |
Western Blot Approx. 80kDa band observed in Human Bone Marrow and Prostate lysates, and approx. 85kDa in Human Spleen lysates (calculated MW of 78.2kDa according to NP_002334.2). Recommended concentration: 0.005-0.01µg/ml. Primary incubation 1 hour at room temperature. | |
Application Type Pep-ELISA, WB, IHC |
Goat Anti-LTF Antibody
$431.00
| SKU | Unit Size | Price |
|---|---|---|
Select a unit size:
Selected References [{"pmid": 0, "intro": "This antibody has been successfully used in Western blot on Human:", "title": "N-Azidoacetylmannosamine and NAzidoacetylgalactosamine Incorporation into N-Glycans of Recombinantly Expressed Human Lactotransferrin by Metabolic Oligosaccharide Engineering", "author": "Heinz Möller, Verena Böhrsch,Christian P. R. Hackenberger & Stephan Hinderlich", "journal": "Journal of Carbohydrate Chemistry, 30:4-6, 334-346 (2011)"}] |
Documents |



