Formulation Supplied at 0.5 mg/ml in Tris saline, 0.02% sodium azide, pH7.3 with 0.5% bovine serum albumin.
| |
Unit Size 100 µg | |
Storage Instructions Aliquot and store at -20°C. Minimize freezing and thawing. | |
Synonym / Alias Names NY-CO-41|DMTase|DKFZp586O0821|methyl-CpG binding domain protein 2|MBD2 | |
Accession ID NP_003918.1 | |
Blocking Peptide EBP07538 | |
Immunogen Peptide with sequence C-RNDPLNQNKGKPDLN, from the internal region of the protein sequence according to NP_003918.1. | |
Product Comments This antibody is expected to resognize isoform 1 (NP_003918.1) only. | |
Peptide Sequence C-RNDPLNQNKGKPDLN | |
Purification Method Purified from goat serum by ammonium sulphate precipitation followed by antigen affinity chromatography using the immunizing peptide. | |
Shipping Instructions Refrigerated | |
Predicted Species Human, Mouse, Rat, Dog | |
Reactive Species Human | |
Human Gene ID 8932 | |
Mouse Gene ID 17191 | |
Product Grade ![]() | |
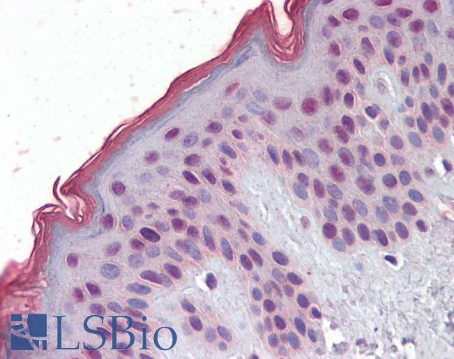
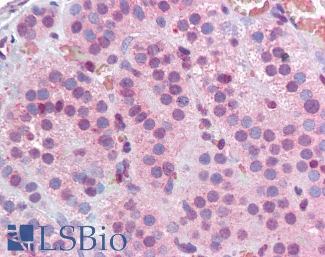
IHC Results Paraffin embedded Human Colon, Adrenal Gland and Skin. Recommended concentration: 2.5µg/ml. | |
ELISA Detection Limit Antibody detection limit dilution 1:64000. | |
Western Blot Approx 48-50kDa band observed in lysates of cell line Jurkat (calculated MW of 43.3kDa according to NP_003918.1). The observed molecular weight corresponds to earlier findings in literature with different antibodies (Tan et al, Mol Cell Biol. 2006 Oct;26(19):7224-35.; PMID: 16980624). Recommended concentration: 0.3-1µg/ml. Primary incubation was 1 hour. This antibody has been successfully used in WB on Human: 33283408 and 20523938. | |
Application Type Pep-ELISA, WB, IHC |
Goat Anti-MBD2 (isoform 1) Antibody
$431.00
| SKU | Unit Size | Price |
|---|---|---|
Select a unit size:
Selected References [{"pmid": 33283408, "intro": "This antibody has been successfully used in WB on Human:", "title": "Cross-linking mass spectrometry reveals the structural topology of peripheral NuRD subunits relative to the core complex", "author": "Cornelia G. Spruijt et al.", "journal": "FEBS Journal (2021) Volume288, Issue10 May 2021, Pages 3231-3245. doi:10.1111/febs.15650"}, {"pmid": 20523938, "intro": "This antibody has been successfully used in WB on Human:", "title": "CDK2AP1/DOC-1 is a bona fide subunit of the Mi-2/NuRD complex.", "author": "Spruijt CG, Bartels SJ, Brinkman AB, Tjeertes JV, Poser I, Stunnenberg HG, Vermeulen M.", "journal": "Mol Biosyst. 2010 Sep;6(9):1700-6."}] |
Documents |




