Formulation Supplied at 0.5 mg/ml in Tris saline, 0.02% sodium azide, pH7.3 with 0.5% bovine serum albumin.
| |
Unit Size 100 µg | |
Storage Instructions Aliquot and store at -20°C. Minimize freezing and thawing. | |
Synonym / Alias Names MC5R N: melanocortin 5 receptor | |
Accession ID NP_005904.1 | |
Blocking Peptide EBP08447 | |
Immunogen Peptide with sequence PNVKNKSSPCED, from the N Terminus (near) of the protein sequence according to NP_005904.1. | |
Peptide Sequence PNVKNKSSPCED | |
Purification Method Purified from goat serum by ammonium sulphate precipitation followed by antigen affinity chromatography using the immunizing peptide. | |
Shipping Instructions Refrigerated | |
Predicted Species Human, Mouse | |
Reactive Species Human, Mouse | |
Human Gene ID 4161 | |
Mouse Gene ID 17203 | |
Product Grade ![]() | |
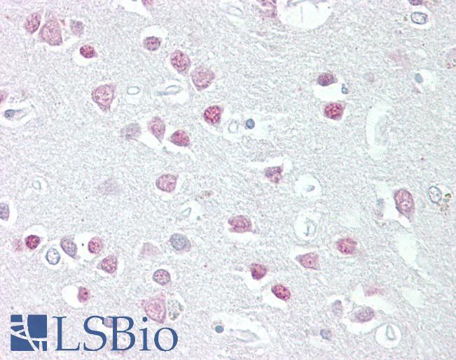
IHC Results Paraffin embedded Human Brain (Cortex). Recommended concentration: 2.5µg/ml. | |
ELISA Detection Limit Antibody detection limit dilution 1:8000. | |
Western Blot Approx. 37kDa band observed in Mouse Skeletal Muscle lysates (calculated MW of 36.6kDa according to NP_005904.1). Recommended concentration: 0.3-1µg/ml. Primary incubation 1 hour at room temperature.
An additional band of unknown identity was also consistently observed at 30kDa. This band was successfully blocked by incubation with the immunizing peptide | |
Application Type Pep-ELISA, WB, IHC |
Goat Anti-MC5R Antibody
$431.00
| SKU | Unit Size | Price |
|---|---|---|
Select a unit size:
Documents |


