Formulation Supplied at 0.5 mg/ml in Tris saline, 0.02% sodium azide, pH7.3 with 0.5% bovine serum albumin.
| |
Unit Size 100 µg | |
Storage Instructions Aliquot and store at -20°C. Minimize freezing and thawing. | |
Synonym / Alias Names helicard|interferon induced with helicase C domain 1|DEAD/H (Asp-Glu-Ala-Asp/His) box polypeptide|melanoma differentiation associated protein-5|IDDM19|MGC133047|Hlcd|MDA-5|MDA5|IFIH1 | |
Usage Summary Flow Cytometry: Flow cytometric analysis of K562 cells. Recommended concentration: 10ug/ml. | |
Accession ID NP_071451.2 | |
Blocking Peptide EBP05965 | |
Immunogen Peptide with sequence SNGYSTDENFRYL-C, from the N Terminus of the protein sequence according to NP_071451.2. | |
Peptide Sequence SNGYSTDENFRYL-C | |
Purification Method Purified from goat serum by ammonium sulphate precipitation followed by antigen affinity chromatography using the immunizing peptide. | |
Shipping Instructions Refrigerated | |
Predicted Species Human | |
Reactive Species Human, Monkey | |
Human Gene ID 64135 | |
Product Grade ![]() | |
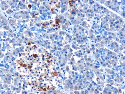
IHC Results In paraffin embedded Human Pancreas, shows strong cytoplasmic staining of some cells in the islets of Langerhans. Recommended concentration: 10ug/ml. | |
ELISA Detection Limit Antibody detection limit dilution 1:32000. | |
Western Blot This antibody has been successfully used in Western blot on African Green Monkey: Sato S et al, Arthritis Rheum. 2009 Jul;60(7):2193-200. PMID: 19565506. | |
Application Type Pep-ELISA, WB, IHC, FC |
Goat Anti-MDA5 / IFIH1 Antibody
$464.00
| SKU | Unit Size | Price |
|---|---|---|
Select a unit size:
Selected References [{"pmid": 19565506, "intro": "This antibody has been successfully used in Western blot on African Green Monkey:", "title": "RNA helicase encoded by melanoma differentiation-associated gene 5 is a major autoantigen in patients with clinically amyopathic dermatomyositis: Association with rapidly progressive interstitial lung disease.", "author": "Sato S, Hoshino K, Satoh T, Fujita T, Kawakami Y, Fujita T, Kuwana M.", "journal": "Arthritis Rheum. 2009 Jul;60(7):2193-200."}] |
Documents |


