Formulation Supplied at 0.5 mg/ml in Tris saline, 0.02% sodium azide, pH7.3 with 0.5% bovine serum albumin.
| |
Unit Size 100 µg | |
Storage Instructions Aliquot and store at -20°C. Minimize freezing and thawing. | |
Synonym / Alias Names proteasome subunit beta 7i|proteasome subunit MECL1|proteasome catalytic subunit 2i|proteasome beta 10 subunit|proteasome MECl-1|multicatalytic endopeptidase complex subunit MECl-1|macropain subunit MECl-1|beta2i|MGC1665|MECL1|LMP10|proteasome (prosome, macropain) subunit, beta type, 10|PSMB10 | |
Accession ID NP_002792.1 | |
Blocking Peptide EBP09446 | |
Immunogen Peptide with sequence C-PTEPVKRSGRYH, from the internal region of the protein sequence according to NP_002792.1. | |
Peptide Sequence C-PTEPVKRSGRYH | |
Purification Method Purified from goat serum by ammonium sulphate precipitation followed by antigen affinity chromatography using the immunizing peptide. | |
Shipping Instructions Refrigerated | |
Predicted Species Human | |
Reactive Species Human | |
Human Gene ID 5699 | |
Mouse Gene ID 19171 | |
Rat Gene ID 291983 | |
Product Grade ![]() | |
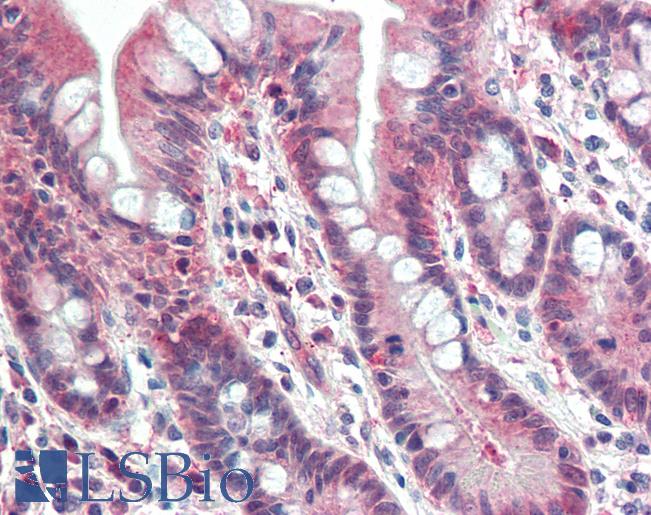
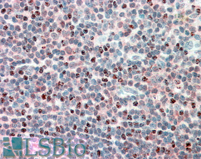
IHC Results Paraffin embedded Human Tonsil and Small Intestine. Recommended concentration: 5µg/ml. | |
ELISA Detection Limit Antibody detection limit dilution 1:8000. | |
Western Blot Approx 26kDa band observed in Human, Liver, Lung and Lymph Node lysates (calculated MW of 28.9kDa according to NP_002792.1). Recommended concentration: 0.3-1µg/ml. | |
Application Type Pep-ELISA, WB, IHC |
Goat Anti-MECL1 Antibody
$431.00
| SKU | Unit Size | Price |
|---|---|---|
Select a unit size:
Documents |



