Formulation Supplied at 0.5 mg/ml in Tris saline, 0.02% sodium azide, pH7.3 with 0.5% bovine serum albumin.
| |
Unit Size 100 µg | |
Storage Instructions Aliquot and store at -20°C. Minimize freezing and thawing. | |
Synonym / Alias Names serine (or cysteine) proteinase inhibitor, clade I (pancpin), member 2|protease inhibitor 14|myoepithelium-derived serine protease inhibitor|serpin peptidase inhibitor, clade I (pancpin), member 2|serine (or cysteine) proteinase inhibitor, clade I (neuroserpin), member 2|SERPIN12|TSA2004|PANCPIN|PI14|MEPI|SERPINI2 | |
Accession ID NP_006208.1; NP_001012303.1 | |
Blocking Peptide EBP06689 | |
Immunogen Peptide with sequence C-KGDWKQKFRKEDTQ, from the internal region of the protein sequence according to NP_006208.1; NP_001012303.1. | |
Product Comments This antibody is expected to recognise both reported isoforms (NP_006208.1; NP_001012303.1). | |
Peptide Sequence C-KGDWKQKFRKEDTQ | |
Purification Method Purified from goat serum by ammonium sulphate precipitation followed by antigen affinity chromatography using the immunizing peptide. | |
Shipping Instructions Refrigerated | |
Predicted Species Human, Mouse, Rat, Dog | |
Reactive Species Human | |
Human Gene ID 5276 | |
Mouse Gene ID 67931 | |
Rat Gene ID 171149 | |
Product Grade ![]() | |
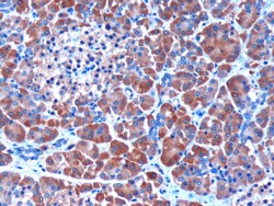
IHC Results In paraffin embedded Human Pancreas, shows cytoplasmic staining of acinar cels and of rare cells in the islets of Langerhans. Recommended concentration, 3µg/ml. This product has been successfully used in IHC on Human in PMID: 21499210. | |
ELISA Detection Limit Antibody detection limit dilution 1:64000. | |
Western Blot Approx 40kDa band observed in Human Pancreas lysates (calculated MW of 46.1kDa according to NP_006208.1 and 47.4kDa according to NP_001012303.1). Recommended concentration: 0.3-1µg/ml. Primary incubation was 1 hour. This product has been successfully used in WB on Human in PMID: 21499210. | |
Application Type Pep-ELISA, WB, IHC |
Goat Anti-MEPI / SERPINI2 Antibody
$431.00
| SKU | Unit Size | Price |
|---|---|---|
Select a unit size:
Selected References [{"pmid": 21499210, "intro": "This antibody has been successfully used in WB and IHC on Human:", "title": "Analysis of the human pancreatic stellate cell secreted proteome.", "author": "Wehr AY, Furth EE, Sangar V, Blair IA, Yu KH.", "journal": "Pancreas. 2011 May;40(4):557-66."}] |
Documents |


