Formulation Supplied at 0.5 mg/ml in Tris saline, 0.02% sodium azide, pH7.3 with 0.5% bovine serum albumin.
| |
Unit Size 100 µg | |
Storage Instructions Aliquot and store at -20°C. Minimize freezing and thawing. | |
Synonym / Alias Names membrane protein MLC1|VL|MLC|LVM|megalencephalic leukoencephalopathy with subcortical cysts 1|MLC1 | |
Accession ID NP_055981.1 | |
Blocking Peptide EBP11998 | |
Immunogen Peptide with sequence C-SDSANILDEVPFPAR, from the internal region of the protein sequence according to NP_055981.1. | |
Product Comments Reported variants represent identical protein: NP_631941.1, NP_055981.1. | |
Peptide Sequence C-SDSANILDEVPFPAR | |
Purification Method Purified from goat serum by ammonium sulphate precipitation followed by antigen affinity chromatography using the immunizing peptide. | |
Shipping Instructions Refrigerated | |
Predicted Species Human | |
Reactive Species Human | |
Human Gene ID 23209 | |
Product Grade ![]() | |
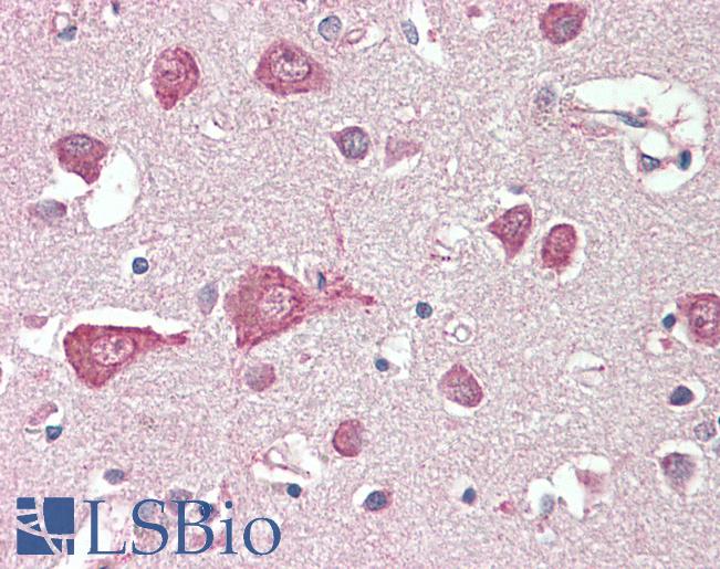
IHC Results Paraffin embedded Human Brain (Cortex). Recommended concentration: 5µg/ml. | |
ELISA Detection Limit Antibody detection limit dilution 1:128000. | |
Western Blot Approx 70kDa band observed in Human Brain (Hippocampus) lysates (calculated MW of 41.1kDa according to NP_055981.1). The observed molecular weight corresponds to earlier findings in literature with different antibodies (López-Hernández et al, Hum Mol Genet. 2011 Aug 15;20(16):3266-77.PMID:21624973). Recommended concentration: 1-3µg/ml. Primary incubation was 1 hour. | |
Application Type Pep-ELISA, WB, IHC |
Goat Anti-MLC1 (aa179-193) Antibody
$431.00
| SKU | Unit Size | Price |
|---|---|---|
Select a unit size:
Documents |


