Formulation Supplied at 0.5 mg/ml in Tris saline, 0.02% sodium azide, pH7.3 with 0.5% bovine serum albumin.
| |
Unit Size 100 µg | |
Storage Instructions Aliquot and store at -20°C. Minimize freezing and thawing. | |
Synonym / Alias Names transcription factor-like protein MRG15|S863-6|protein MSL3-1|MORF-related gene on chromosome 15|Esa1p-associated factor 3 homolog|MORFRG15|MGC10631|MEAF3|HsT17725|FWP006|Eaf3|mortality factor 4 like 1|MORF-related gene 15 protein|MRG15|MORF4L1 | |
Accession ID NP_006782.1; NP_996670.1 | |
Blocking Peptide EBP06079 | |
Immunogen Peptide with sequence APKQDPKPKFQEG-C, from the N Terminus of the protein sequence according to NP_006782.1; NP_996670.1. | |
Product Comments This antibody is expected to recognise isoform 1 (NP_006782.1) and isoform 2 (NP_996670.1). | |
Peptide Sequence APKQDPKPKFQEG-C | |
Purification Method Purified from goat serum by ammonium sulphate precipitation followed by antigen affinity chromatography using the immunizing peptide. | |
Shipping Instructions Refrigerated | |
Predicted Species Human, Mouse, Rat, Pig, Cow | |
Reactive Species Human, Mouse, Rat, Pig | |
Human Gene ID 10933 | |
Mouse Gene ID 21761 | |
Product Grade ![]() | |
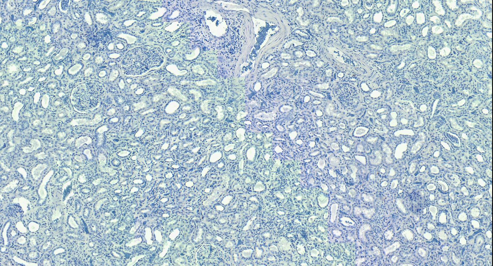
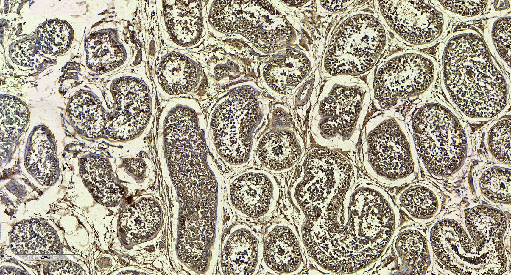
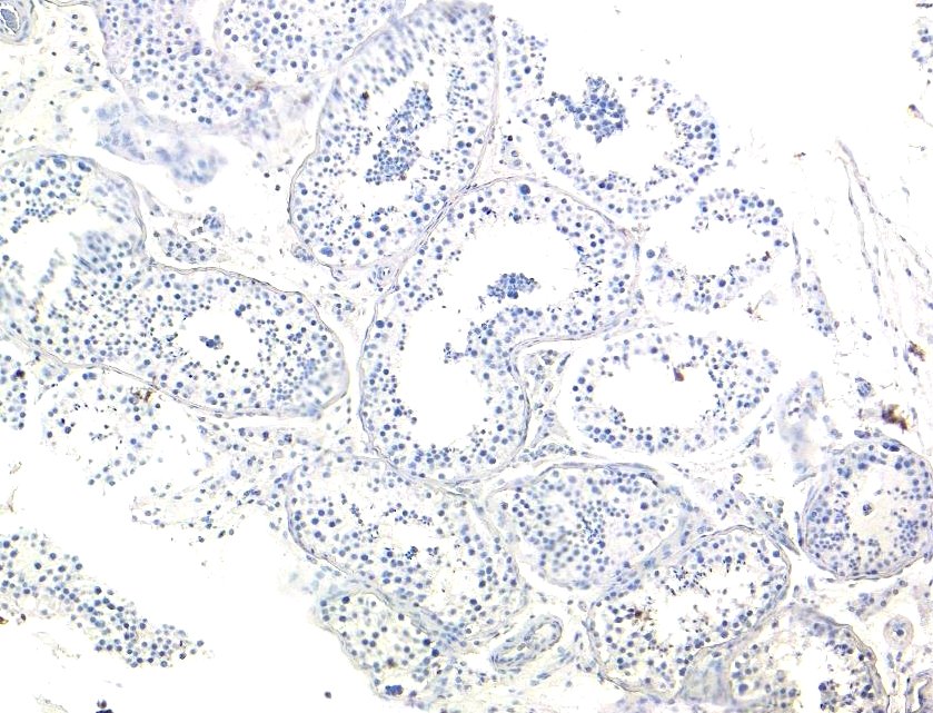
IHC Results Paraffin embedded Human Kidney and Testis. Recommended concentration: 4-6µg/ml. | |
ELISA Detection Limit Antibody detection limit dilution 1:128000. | |
Western Blot Approx 37kDa band observed in nuclear lysates of cell lines HepG2 and NIH3T3 and approx 40kDa band observed in Mouse, Rat and Pig Liver lysates (calculated MW of 37.2kDa according to Human NP_006782.1, Mouse NP_077751.1, Rat NP_001011999.1 and Pig XP_001927776.1 and 41.5kDa according to Human NP_996670.1, Mouse NP_001034236.1 and Pig XP_001927789.1). Recommended concentration: 0.1-0.3µg/ml. | |
Application Type Pep-ELISA, WB, IHC |
Goat Anti-MRG15 / MORF4L1 Antibody
$431.00
| SKU | Unit Size | Price |
|---|---|---|
Select a unit size:
Documents |






