Formulation Supplied at 0.5 mg/ml in Tris saline, 0.02% sodium azide, pH7.3 with 0.5% bovine serum albumin.
| |
Unit Size 100 µg | |
Storage Instructions Aliquot and store at -20°C. Minimize freezing and thawing. | |
Synonym / Alias Names multi-resistance protein 8|ATP-binding cassette, sub-family C, member 11|ATP-binding cassette protein C11|WW|MRP8|EWWD|ATP-binding cassette, sub-family C (CFTR/MRP), member 11|ATP-binding cassette transporter MRP8|ABCC11 | |
Usage Summary Immunofluorescence: Strong expression of the protein seen in the membranes and cytoplasm of HeLa cells. Recommended concentration: 10µg/ml.
Flow Cytometry: Flow cytometric analysis of HeLa cells. Recommended concentration: 10ug/ml. | |
Accession ID NP_115972.2; NP_660187.1; NP_001357425.1 | |
Blocking Peptide EBP08705 | |
Immunogen Peptide with sequence C-KVVEFDRPEVLRK, from the internal region (near C Terminus) of the protein sequence according to NP_115972.2; NP_660187.1; NP_001357425.1. | |
Peptide Sequence C-KVVEFDRPEVLRK | |
Purification Method Purified from goat serum by ammonium sulphate precipitation followed by antigen affinity chromatography using the immunizing peptide. | |
Shipping Instructions Refrigerated | |
Predicted Species Human | |
Reactive Species Human | |
Human Gene ID 85320 | |
Product Grade ![]() | |
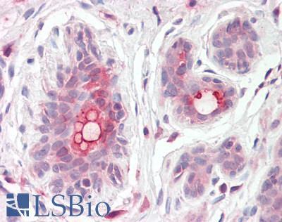
IHC Results Paraffin embedded Human Breast. Recommended concentration: 3.75µg/ml. | |
ELISA Detection Limit Antibody detection limit dilution 1:32000. | |
Western Blot Approx 125kDa band observed in Human Testis lysates and in preliminary testing of Breast lysate (calculated MW of 150kDa according to NP_660187.1). This molecular weight is routinely observed by other sources. Recommended concentration: 0.5-1.5µg/ml. Primary incubation 1 hour at room temperature. | |
Application Type Pep-ELISA, WB, IHC, IF, FC |
Goat Anti-MRP8 / ABCC11 Antibody
$431.00
| SKU | Unit Size | Price |
|---|---|---|
Select a unit size:
Documents |




