Formulation Supplied at 0.5 mg/ml in Tris saline, 0.02% sodium azide, pH7.3 with 0.5% bovine serum albumin.
| |
Unit Size 100 µg | |
Storage Instructions Aliquot and store at -20°C. Minimize freezing and thawing. | |
Synonym / Alias Names mutS homolog 5|NG23|MutSH5|G7N: MGC2939|DKFZp434C1615|XXbac-BCX40G17.5|mutS homolog 5 (E. coli)|MSH5 | |
Accession ID NP_079535.3 ; NP_751897.1; NP_002432.1 | |
Blocking Peptide EBP08335 | |
Immunogen Peptide with sequence GDLHCEIRDQET, from the internal region of the protein sequence according to NP_079535.3 ; NP_751897.1; NP_002432.1. | |
Product Comments This antibody is expected to recognise three reported isoforms ( NP_079535.3 ; NP_751897.1; NP_002432.1); Reported variants NP_751898.1 and NP_002432.1 represent identical protein. | |
Peptide Sequence GDLHCEIRDQET | |
Purification Method Purified from goat serum by ammonium sulphate precipitation followed by antigen affinity chromatography using the immunizing peptide. | |
Shipping Instructions Refrigerated | |
Predicted Species Human, Mouse, Rat | |
Reactive Species Human | |
Human Gene ID 4439 | |
Mouse Gene ID 17687 | |
Rat Gene ID 294252 | |
Product Grade ![]() | |
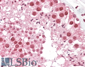
IHC Results Paraffin embedded Human Testis and Thymus. Recommended concentration: 2.5-3.75µg/ml. | |
ELISA Detection Limit Antibody detection limit dilution 1:64000. | |
Western Blot Preliminary experiments gave an approx 38kDa band in Human Testis, Tonsil and Thymus lysates after 0.1µg/ml antibody staining. Please note that currently we cannot find an explanation in the literature for the band we observe given the calculated size of 92.9kDa according to the smallest reported isoform NP_002432.1. The 38kDa band was successfully blocked by incubation with the immunizing peptide. | |
Application Type Pep-ELISA, IHC |
Goat Anti-MSH5 Antibody
$431.00
| SKU | Unit Size | Price |
|---|---|---|
Select a unit size:
Documents |


