Formulation Supplied at 0.5 mg/ml in Tris saline, 0.02% sodium azide, pH7.3 with 0.5% bovine serum albumin.
| |
Unit Size 100 µg | |
Storage Instructions Aliquot and store at -20°C. Minimize freezing and thawing. | |
Synonym / Alias Names musashi-2|musashi homolog 2|RNA-binding protein Musashi homolog 2|MSI2H|musashi RNA-binding protein 2|MSI2 | |
Accession ID NP_620412.1 | |
Blocking Peptide EBP12530 | |
Immunogen Peptide with sequence QGTSGSANDSQHD-C, from the N Terminus of the protein sequence according to NP_620412.1. | |
Product Comments This antibody is expected to recognize isoform a (NP_620412.1) only. | |
Peptide Sequence QGTSGSANDSQHD-C | |
Purification Method Purified from goat serum by ammonium sulphate precipitation followed by antigen affinity chromatography using the immunizing peptide. | |
Shipping Instructions Refrigerated | |
Predicted Species Human, Mouse, Dog | |
Reactive Species Human, Mouse | |
Human Gene ID 124540 | |
Mouse Gene ID 76626 | |
Product Grade ![]() | |
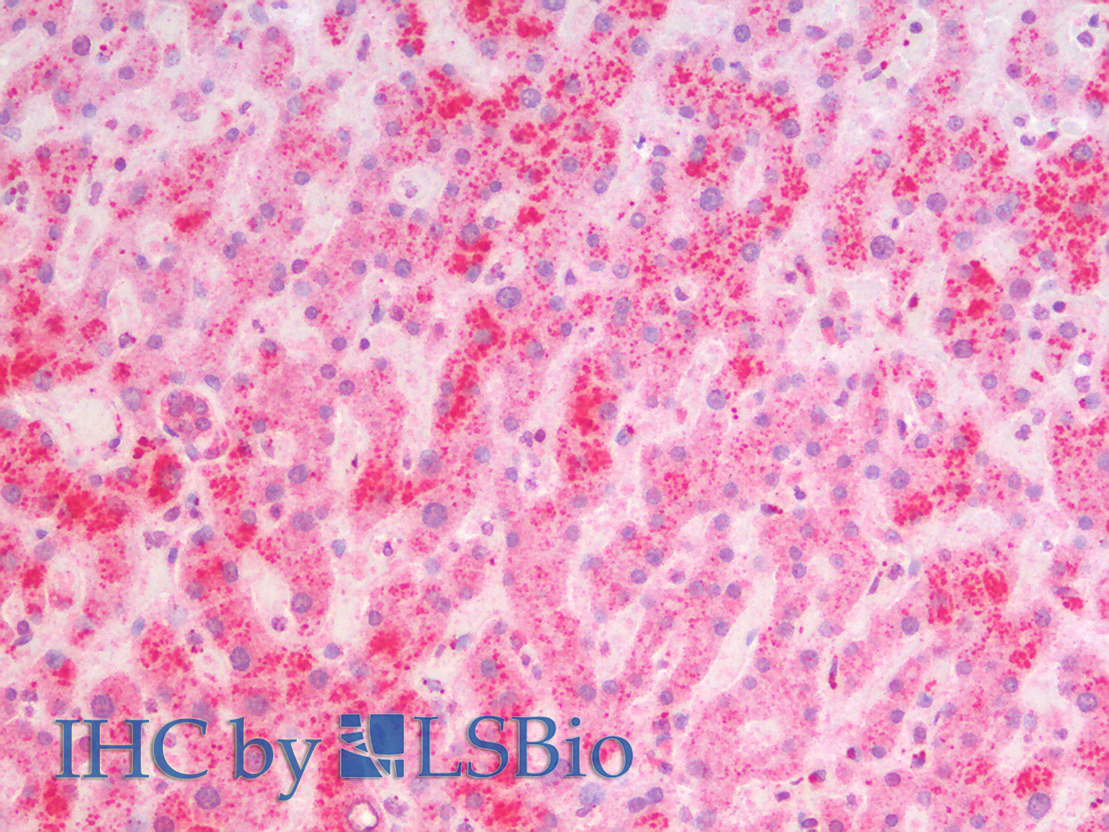
IHC Results Paraffin embedded Human Liver. Recommended concentration: 5µg/ml. | |
ELISA Detection Limit Antibody detection limit dilution 1:128000. | |
Western Blot Approx 37kDa band observed in lysates of cell line Kelly (calculated MW of 35.2kDa according to NP_620412.1). Approx 35+37kDa bands observed in fetal Mouse Brain lysates (calculated MW of 36.9kDa according to NP_473384.1 ). Recommended concentration: 1-3µg/ml. Primary incubation was 1 hour. | |
Application Type Pep-ELISA, WB, IHC |
Goat Anti-MSI2 / musashi-2 Antibody
$431.00
| SKU | Unit Size | Price |
|---|---|---|
Select a unit size:
Documents |



