Formulation Supplied at 0.5 mg/ml in Tris saline, 0.02% sodium azide, pH7.3 with 0.5% bovine serum albumin.
| |
Unit Size 100 µg | |
Storage Instructions Aliquot and store at -20°C. Minimize freezing and thawing. | |
Synonym / Alias Names metastasis associated protein|metastasis associated gene 1 protein|metastasis associated gene 1|metastasis associated 1|MTA1 | |
Accession ID AAA78935.1 | |
Blocking Peptide EBP05163 | |
Immunogen Peptide with sequence C-PGDVFYMPKE, from the internal region (near the C Terminus) of the protein sequence according to AAA78935.1. | |
Product Comments Immunizing peptide was designed based on NP_004680.1. The version changed to NP_004680.2 and no longer matches with the peptide. | |
Peptide Sequence C-PGDVFYMPKE | |
Purification Method Purified from goat serum by ammonium sulphate precipitation followed by antigen affinity chromatography using the immunizing peptide. | |
Shipping Instructions Refrigerated | |
Predicted Species Human | |
Reactive Species Human | |
Human Gene ID 9112 | |
Product Grade ![]() | |
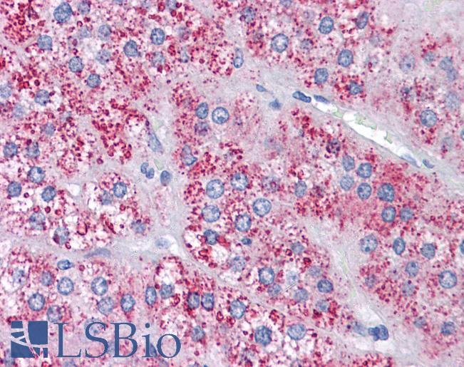
IHC Results Paraffin embedded Human Testis and Adrenal Gland. Recommended concentration: 3.75µg/ml. | |
ELISA Detection Limit Antibody detection limit dilution 1:16000. | |
Western Blot Approx 75kDa band observed in Human Placenta lysates (calculated MW of 80.8kDa according to NP_004680.1). Recommended concentration: 0.03-0.1µg/ml. | |
Application Type Pep-ELISA, WB, IHC |
Goat Anti-MTA1 Antibody
$431.00
| SKU | Unit Size | Price |
|---|---|---|
Select a unit size:
Documents |



