Formulation Supplied at 0.5 mg/ml in Tris saline, 0.02% sodium azide, pH7.3 with 0.5% bovine serum albumin.
| |
Unit Size 100 µg | |
Storage Instructions Aliquot and store at -20°C. Minimize freezing and thawing. | |
Synonym / Alias Names formyltetrahydrofolate synthetase domain containing 1| 10-formyl-THF synthetase| dJ292B18.2| MTC1THFS| FTHFSDC1| FLJ21145| DKFZp586G1517| methylenetetrahydrofolate dehydrogenase (NADP+ dependent) 1-like|MTHFD1L | |
Usage Summary Additional validation: This antibody has been successfully used in the following paper: Sikorski et al. (2018) PMID: 30377371. | |
Accession ID NP_056255.2 | |
Blocking Peptide EBP10910 | |
Immunogen Peptide with sequence C-DTNDRFLRKITIGQ, from the internal region of the protein sequence according to NP_056255.2. | |
Peptide Sequence C-DTNDRFLRKITIGQ | |
Purification Method Purified from goat serum by ammonium sulphate precipitation followed by antigen affinity chromatography using the immunizing peptide. | |
Shipping Instructions Refrigerated | |
Predicted Species Human, Mouse, Rat, Dog, Pig, Cow | |
Reactive Species Human, Mouse, Rat | |
Human Gene ID 25902 | |
Mouse Gene ID 270685 | |
Rat Gene ID 361472 | |
Product Grade ![]() | |
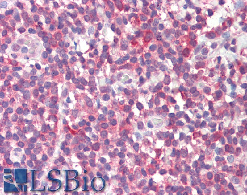
IHC Results Paraffin embedded Human Kidney. Recommended concentration: 5µg/ml. | |
ELISA Detection Limit Antibody detection limit dilution 1:32000. | |
Western Blot Approx 110kDa band observed in Human Brain (Cerebellum) (calculated MW of 106kDa according to NP_056255.2). The same band is observed in lysates of cell line NIH3T3, Mouse Brain and Rat Brain. Recommended concentration: 0.1-0.3µg/ml. Primary incubation was 1 hour. Preliminary testing was unsuccessful on Pig for this particular batch. | |
Application Type Pep-ELISA, WB, IHC |
Goat Anti-MTHFD1L (aa535-538) Antibody
$431.00
| SKU | Unit Size | Price |
|---|---|---|
Select a unit size:
Selected References [{"pmid": 30377371, "intro": "This antibody has been successfully used in the following paper:", "title": "A high-throughput pipeline for validation of antibodies", "author": "Krzysztof Sikorski, Adi Mehta, Marit Inngjerdingen, Flourina Thakor, Simon Kling, Tomas Kalina, Tuula A. Nyman, Maria Ekman Stensland, Wei Zhou, Gustavo A. De Souza, Lars Holden, Jan Stuchly, Markus Templin and Fridtjof Lund-Johansen", "journal": "Nat Methods. 2018 Nov;15(11):909-912"}] |
Documents |



