Formulation Supplied at 0.5 mg/ml in Tris saline, 0.02% sodium azide, pH7.3 with 0.5% bovine serum albumin.
| |
Unit Size 100 µg | |
Storage Instructions Aliquot and store at -20°C. Minimize freezing and thawing. | |
Synonym / Alias Names myotubularin 1|myotubularin|XLMTM|MTMX|CNM|myotubular myopathy 1|MTM1 | |
Accession ID NP_000243.1 | |
Blocking Peptide EBP05195 | |
Immunogen Peptide with sequence C-SSPSQMMPHVQTHF, from the C Terminus of the protein sequence according to NP_000243.1. | |
Peptide Sequence C-SSPSQMMPHVQTHF | |
Purification Method Purified from goat serum by ammonium sulphate precipitation followed by antigen affinity chromatography using the immunizing peptide. | |
Shipping Instructions Refrigerated | |
Predicted Species Human, Mouse, Dog, Cow | |
Reactive Species Human, Mouse | |
Human Gene ID 4534 | |
Product Grade ![]() | |
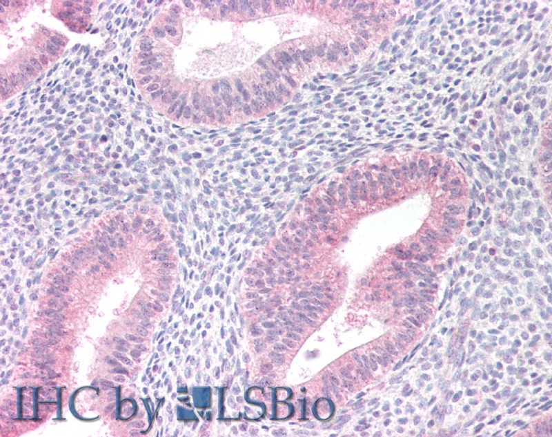
IHC Results Paraffin embedded Human Uterus. Recommended concentration: 10µg/ml. | |
ELISA Detection Limit Antibody detection limit dilution 1:16000. | |
Western Blot Approx 70kDa band observed in lysates of Human and Mouse Skeletal Muscle and of cell line HepG2 (calculated MW of 69.9kDa according to NP_000243.1and 69.6kDa according to Mouse NP_001157662.1). Recommended concentration: 1-3µg/ml. Primary incubation was 1 hour. | |
Application Type Pep-ELISA, WB, IHC |
Goat Anti-MTM1 Antibody
$431.00
| SKU | Unit Size | Price |
|---|---|---|
Select a unit size:
Documents |




