Formulation Supplied at 0.5 mg/ml in Tris saline, 0.02% sodium azide, pH7.3 with 0.5% bovine serum albumin.
| |
Unit Size 100 µg | |
Storage Instructions Aliquot and store at -20°C. Minimize freezing and thawing. | |
Synonym / Alias Names OTTHUMP00000209206|MGC130035|MGC130034|FLJ44025|synaptotagmin-like protein homologue lacking C2 domains-c|Slp homologue lacking C2 domains|rab effector MYRIP|DKFZp586F1018|exophilin 8|exophilin|SLAC2-C|MyRIP|myosin VIIA and Rab interacting protein|SLAC2C|MYRIP | |
Accession ID NP_056275.2 | |
Blocking Peptide EBP06023 | |
Immunogen Peptide with sequence C-KDLMEPALESAVMY, from the C Terminus of the protein sequence according to NP_056275.2. | |
Peptide Sequence C-KDLMEPALESAVMY | |
Purification Method Purified from goat serum by ammonium sulphate precipitation followed by antigen affinity chromatography using the immunizing peptide. | |
Shipping Instructions Refrigerated | |
Predicted Species Human | |
Reactive Species Human | |
Human Gene ID 25924 | |
Product Grade ![]() | |
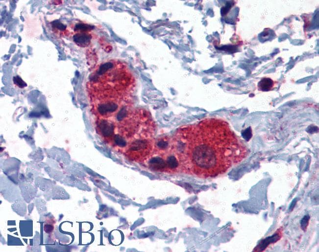
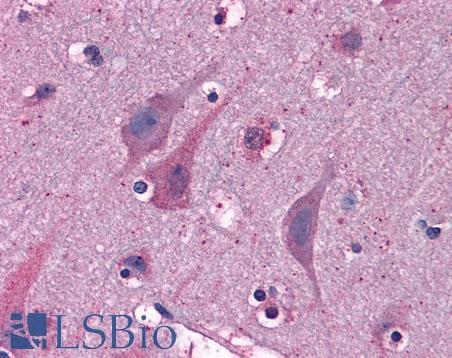
IHC Results Paraffin embedded Human Breast, Colon and Brain (Cortex). Recommended concentration: 3.75µg/ml. | |
ELISA Detection Limit Antibody detection limit dilution 1:64000. | |
Western Blot Approx 90kDa band observed in Human Brain (Amygdala) lysates (calculated MW of 95.7kDa according to NP_056275.2). Recommended concentration: 0.3-1µg/ml. | |
Application Type Pep-ELISA, WB, IHC |
Goat Anti-MYRIP / SLAC2C Antibody
$431.00
| SKU | Unit Size | Price |
|---|---|---|
Select a unit size:
Selected References [{"pmid": 22396429, "intro": "This antibody (previous batch) has been successfully used in coIP on Human:", "title": "Myrip couples the capture of secretory granules by the actin-rich cell cortex and their attachment to the plasma membrane.", "author": "Huet S, Fanget I, Jouannot O, Meireles P, Zeiske T, Larochette N, Darchen F, Desnos C.", "journal": "J Neurosci. 2012 Feb 15;32(7):2564-77."}] |
Documents |




