Formulation Supplied at 0.5 mg/ml in Tris saline, 0.02% sodium azide, pH7.3 with 0.5% bovine serum albumin.
| |
Unit Size 100 µg | |
Storage Instructions Aliquot and store at -20°C. Minimize freezing and thawing. | |
Synonym / Alias Names OCAM|NCAM21|MGC51008|HGNC:7657|neural cell adhesion molecule 2|NCAM2 | |
Accession ID NP_004531.2 | |
Blocking Peptide EBP06991 | |
Immunogen Peptide with sequence C-KVSNDIIQSKEDDSK, from the C Terminus of the protein sequence according to NP_004531.2. | |
Peptide Sequence C-KVSNDIIQSKEDDSK | |
Purification Method Purified from goat serum by ammonium sulphate precipitation followed by antigen affinity chromatography using the immunizing peptide. | |
Shipping Instructions Refrigerated | |
Predicted Species Human, Mouse, Rat, Dog, Cow | |
Reactive Species Human, Mouse | |
Human Gene ID 4685 | |
Mouse Gene ID 17968 | |
Rat Gene ID 288280 | |
Product Grade ![]() | |
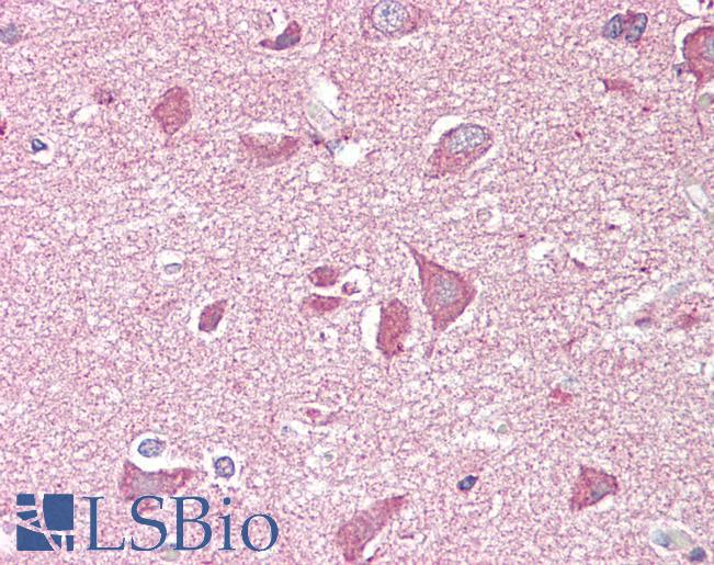
IHC Results Frozen section of Olfactory bulb from transcardially PFA-perfused Mouse shows strong staining of axon bundles (right side middle, figure 1) and moderate peripheral staining outside the glomeruli (top, figure 1). NCAM2 (red) is stained complementary to VGLUT2 (blue) and NQO1 (green) in figure 2. Recommended concentration: 0.5µg/ml. Paraffin embedded Human Brain (Cortex). Recommended concentration: 3.75ug/ml. This antibody has been successfully used in IHC in the following papers, PMID: 37724425 and PMID: 32043120. | |
ELISA Detection Limit Antibody detection limit dilution 1:4000. | |
Western Blot This antibody has been successfully used in WB on Mouse in the following papers, PMID: 34299022 and PMID: 32043120. | |
Application Type Pep-ELISA, WB, IHC |
Goat Anti-NCAM2 / OCAM Antibody
$431.00
| SKU | Unit Size | Price |
|---|---|---|
Select a unit size:
Selected References [{"pmid": 32043120, "intro": "This antibody has been successfully used in WB and IHC on Mouse:", "title": "NCAM2 Regulates Dendritic and Axonal Differentiation through the Cytoskeletal Proteins MAP2 and 14-3-3.", "author": "Antoni Parcerisas, Lluís Pujadas, Alba Ortega-Gascó, Bartomeu Perelló-Amorós, Ricardo Viais, Keiko Hino, Joana Figueiro-Silva, Anna La Torre, Ramón Trullás, Sergi Simó, Jens Lüders, and Eduardo Soriano", "journal": "Cereb Cortex. 2020 May; 30(6): 3781-3799."}, {"pmid": 34299022, "intro": "This antibody has been successfully used in WB on Mouse:", "title": "New Partners Identified by Mass Spectrometry Assay Reveal Functions of NCAM2 in Neural Cytoskeleton Organization.", "author": "Antoni Parcerisas, Alba Ortega-Gascó, Marc Hernaiz-Llorens, Maria Antonia Odena, Fausto Ulloa, Eliandre de Oliveira, Miquel Bosch, Lluís Pujadas, and Eduardo Soriano", "journal": "Int J Mol Sci. 2021 Jul; 22(14): 7404."}, {"pmid": 37724425, "intro": "This antibody has been successfully used in IHC:", "title": "Regulation of young-adult neurogenesis and neuronal differentiation by neural cell adhesion molecule 2 (NCAM2).", "author": "Alba Ortega-Gascó, Antoni Parcerisas, Keiko Hino, Vicente Herranz-Pérez, Fausto Ulloa, Alba Elias-Tersa, Miquel Bosch, José Manuel García-Verdugo, Sergi Simó, Lluís Pujadas, Eduardo Soriano", "journal": "Cereb Cortex. 2023 Oct 14;33(21):10931-10948."}] |
Documents |



