Formulation Supplied at 0.5 mg/ml in Tris saline, 0.02% sodium azide, pH7.3 with 0.5% bovine serum albumin.
| |
Unit Size 100 µg | |
Storage Instructions Aliquot and store at -20°C. Minimize freezing and thawing. | |
Synonym / Alias Names NADPH oxidase organizer 2|neutrophil cytosolic factor 1 (47kD, chronic granulomatous disease, autosomal 1)|Neutrophil cytosolic factor-1 (47kD)|neutrophil cytosolic factor 1|SH3PXD1A|NOXO2|NCF1A|FLJ79451|p47phox|NCF1 | |
Usage Summary Immunofluorescence: Strong expression of the protein seen in the cytoplasm of HeLa cells. Recommended concentration: 10µg/ml.
Flow Cytometry: Flow cytometric analysis of HeLa cells. Recommended concentration: 10ug/ml. | |
Accession ID NP_000256.4 | |
Blocking Peptide EBP05054 | |
Immunogen Peptide with sequence C-SESTKRKLASAV, from the C Terminus of the protein sequence according to NP_000256.4. | |
Peptide Sequence C-SESTKRKLASAV | |
Purification Method Purified from goat serum by ammonium sulphate precipitation followed by antigen affinity chromatography using the immunizing peptide. | |
Shipping Instructions Refrigerated | |
Predicted Species Human, Mouse, Rat, Pig, Cow | |
Reactive Species Human, Mouse, Pig | |
Human Gene ID 653361 | |
Mouse Gene ID 17969 | |
Rat Gene ID 114553 | |
Product Grade ![]() | |
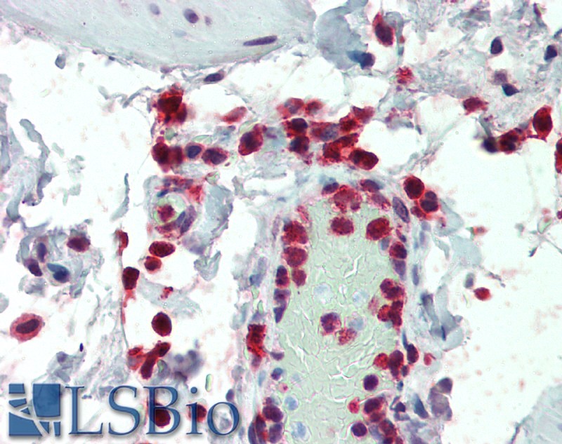
IHC Results Paraffin embedded Human Colon, Neutrophils. Recommended concentration: 5µg/ml. | |
ELISA Detection Limit Antibody detection limit dilution 1:20000. | |
Western Blot Approx 48kDa band observed in lysates of cell lines Daudi, U251 and U937 and in Mouse Thymus, and approx, 50kDa in Pig Spleen lysates (calculated MW of 44.7kDa according to Human NP_000256.4, 46.0kDa according to Mouse NP_001272966.1 and 45.3kDa according to Pig NP_001106691.1). This molecular weight is routinely observed by other sources. Recommended concentration: 0.01-1µg/ml. Primary incubation 1 hour at room temperature. Negative Control: A431 cell lysate. Preliminary testing was unsuccessful on Rat Spleen and Thymus for this particular batch. | |
Application Type Pep-ELISA, WB, IHC, IF, FC |
Goat Anti-NCF1 / p47phox Antibody
$431.00
| SKU | Unit Size | Price |
|---|---|---|
Select a unit size:
Documents |





