Formulation Supplied at 0.5 mg/ml in Tris saline, 0.02% sodium azide, pH7.3 with 0.5% bovine serum albumin.
| |
Unit Size 100 µg | |
Storage Instructions Aliquot and store at -20°C. Minimize freezing and thawing. | |
Synonym / Alias Names neutrophil cytosolic factor 4 (40kD)|neutrophil cytosol factor 4|neutrophil NADPH oxidase factor 4|OTTHUMP00000043756|OTTHUMP00000028736|SH3PXD4|NCF|MGC3810|CTA-833B7.1|neutrophil cytosolic factor 4, 40kDa|P40PHOX|NCF4 | |
Accession ID NP_000622.2; NP_038202.1 | |
Blocking Peptide EBP07895 | |
Immunogen Peptide with sequence C-KDFPEEDDPTN, from the internal region of the protein sequence according to NP_000622.2; NP_038202.1. | |
Product Comments This antibody is expected to recognise both reported isoforms (NP_000622.2 and NP_038202.1). | |
Peptide Sequence C-KDFPEEDDPTN | |
Purification Method Purified from goat serum by ammonium sulphate precipitation followed by antigen affinity chromatography using the immunizing peptide. | |
Shipping Instructions Refrigerated | |
Predicted Species Human | |
Reactive Species Human | |
Human Gene ID 4689 | |
Product Grade ![]() | |
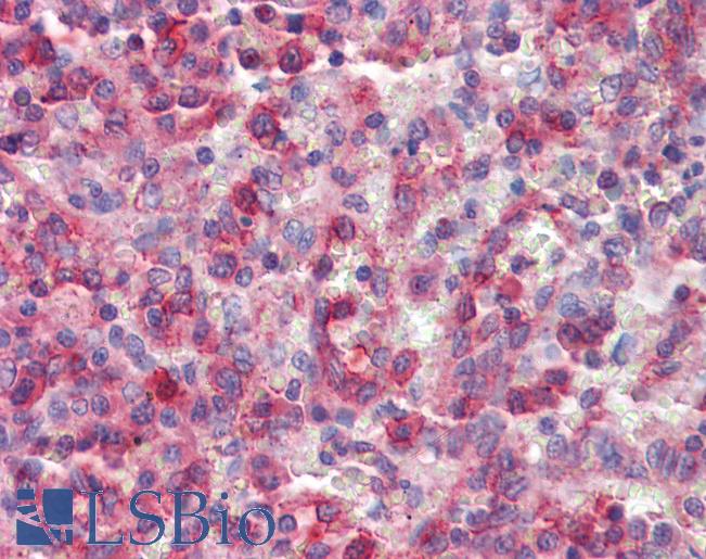
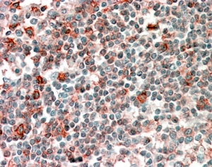
IHC Results Paraffin embedded Human Tonsil and Spleen. Recommended concentration: 2.5µg/ml. | |
ELISA Detection Limit Antibody detection limit dilution 1:32000. | |
Western Blot Approx. 38kDa band observed in lysates of cell line Daudi (calculated MW of 39.0kDa according to NP_000622.2 and 38.8kDa according to NP_038202.1). In transfected HEK293 transiently expressing P40PHOX a band of approx. 42kDa is observed. This band is not observed in the non-transfected HEK293. Recommended concentration: 0.3-1µg/ml. Primary incubation was 1 hour. | |
Application Type Pep-ELISA, WB, IHC |
Goat Anti-NCF4 / P40PHOX Antibody
$431.00
| SKU | Unit Size | Price |
|---|---|---|
Select a unit size:
Documents |




