Formulation Supplied at 0.5 mg/ml in Tris saline, 0.02% sodium azide, pH7.3 with 0.5% bovine serum albumin.
| |
Unit Size 100 µg | |
Storage Instructions Aliquot and store at -20°C. Minimize freezing and thawing. | |
Synonym / Alias Names receptor-associated coactivator 3|amplified in breast cancer-1|CBP-interacting protein|pCIP|TRAM-1|TNRC16|TNRC14|SRC3|SRC-1|RAC3|MGC141848|CTG26|CAGH16|AIB1|AIB-1|ACTR|RP5-1049G16.3|nuclear receptor coactivator 3|NCOA3 | |
Accession ID NP_006525.2; NP_858045.1 | |
Blocking Peptide EBP08455 | |
Immunogen Peptide with sequence C-TNETQRQKSHT, from the internal region of the protein sequence according to NP_006525.2; NP_858045.1. | |
Product Comments This antibody is expected to recognise both reported isoforms (NP_006525.2; NP_858045.1) | |
Peptide Sequence C-TNETQRQKSHT | |
Purification Method Purified from goat serum by ammonium sulphate precipitation followed by antigen affinity chromatography using the immunizing peptide. | |
Shipping Instructions Refrigerated | |
Predicted Species Human, Mouse | |
Reactive Species Human | |
Human Gene ID 8202 | |
Product Grade ![]() | |
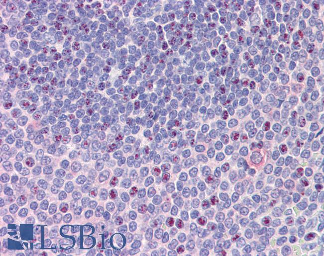
IHC Results Paraffin embedded Human Placenta and Spleen. Recommended concentration: 3.75µg/ml. | |
ELISA Detection Limit Antibody detection limit dilution 1:16000. | |
Application Type Pep-ELISA, IHC |
Goat Anti-NCOA3 Antibody
$431.00
| SKU | Unit Size | Price |
|---|---|---|
Select a unit size:
Documents |


