Formulation Supplied at 0.5 mg/ml in Tris saline, 0.02% sodium azide, pH7.3 with 0.5% bovine serum albumin.
| |
Unit Size 100 µg | |
Storage Instructions Aliquot and store at -20°C. Minimize freezing and thawing. | |
Synonym / Alias Names NDRG2| NDRG family member 2| DKFZp781G1938| FLJ25522| KIAA1248| SYLD| N-myc downstream regulator 2| NDR1-related protein NDR2| OTTHUMP00000164405| OTTHUMP00000164407| OTTHUMP00000164408| cytoplasmic protein Ndr1| protein NDRG2| syld709 | |
Accession ID NP_963293.1 | |
Blocking Peptide EBP10793 | |
Immunogen Peptide with sequence KEAELAARILLDQGQ-C, from the N Terminus (near) of the protein sequence according to NP_963293.1. | |
Product Comments This antibody is expected to recognize reported isoform a (NP_963293.1) only. Reported variants represent identical protein: NP_963831.1, NP_963293.1, NP_963834.1, NP_963833.1. | |
Peptide Sequence KEAELAARILLDQGQ-C | |
Purification Method Purified from goat serum by ammonium sulphate precipitation followed by antigen affinity chromatography using the immunizing peptide. | |
Shipping Instructions Refrigerated | |
Predicted Species Human, Mouse, Rat, Dog | |
Reactive Species Human, Mouse, Rat | |
Human Gene ID 57447 | |
Mouse Gene ID 29811 | |
Rat Gene ID 171114 | |
Product Grade ![]() | |
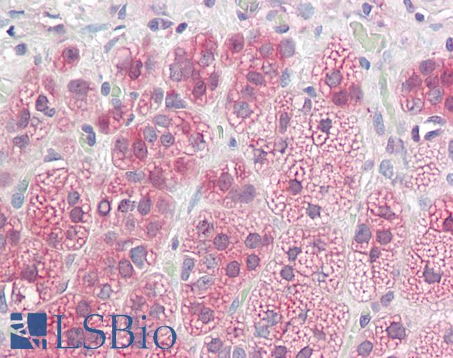
IHC Results Paraffin embedded Human Adrenal Gland. Recommended concentration: 3.75µg/ml. | |
ELISA Detection Limit Antibody detection limit dilution 1:16000. | |
Western Blot Approx 45kDa band observed in Human Brain (Temporal Cortex), Mouse and Rat Brain lysates (calculated MW of 40.8kDa according to NP_963293.1). Recommended concentration: 0.1-0.3µg/ml. Primary incubation was 1 hour. | |
Application Type Pep-ELISA, WB, IHC |
Goat Anti-NDRG2 Antibody
$431.00
| SKU | Unit Size | Price |
|---|---|---|
Select a unit size:
Documents |



