Formulation Supplied at 0.5 mg/ml in Tris saline, 0.02% sodium azide, pH7.3 with 0.5% bovine serum albumin.
| |
Unit Size 100 µg | |
Storage Instructions Aliquot and store at -20°C. Minimize freezing and thawing. | |
Synonym / Alias Names NADH dehydrogenase (ubiquinone) Fe-S protein 6, 13kDa (NADH-coenzyme Q reductase)|NDUFS6 | |
Usage Summary Additional validation: This antibody has been successfully used in the following paper: Sikorski et al. (2018) PMID: 30377371. | |
Accession ID NP_004544.1 | |
Blocking Peptide EBP09788 | |
Immunogen Peptide with sequence C-RIRFVGRQKEVNEN, from the internal region of the protein sequence according to NP_004544.1. | |
Peptide Sequence C-RIRFVGRQKEVNEN | |
Purification Method Purified from goat serum by ammonium sulphate precipitation followed by antigen affinity chromatography using the immunizing peptide. | |
Shipping Instructions Refrigerated | |
Predicted Species Human, Mouse, Rat, Dog, Cow | |
Reactive Species Human, Mouse, Rat | |
Human Gene ID 4726 | |
Mouse Gene ID 407785 | |
Rat Gene ID 29478 | |
Product Grade ![]() | |
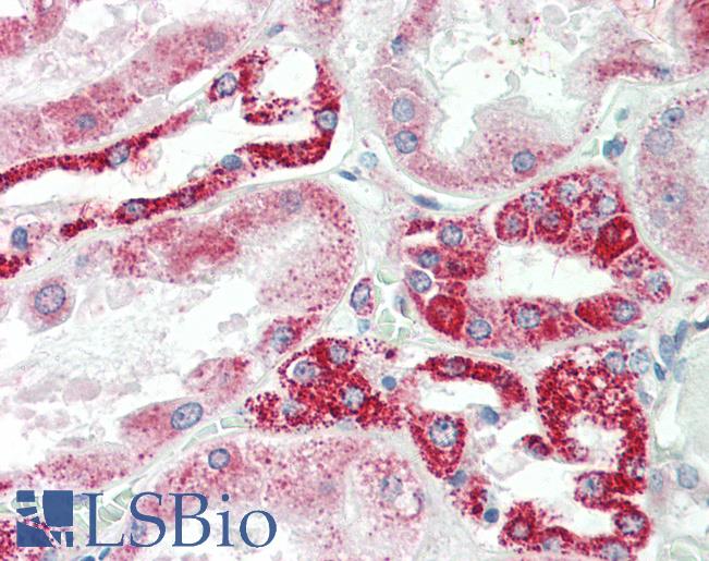
IHC Results Paraffin embedded Human Kidney. Recommended concentration: 5µg/ml. | |
ELISA Detection Limit Antibody detection limit dilution 1:16000. | |
Western Blot Approx 15kDa band observed in Human Heart lysates and 14kDa in Mouse and Rat Heart lysates (calculated MW of 13.7kDa according to NP_004544.1). Recommended concentration: 0.01-0.03µg/ml. Primary incubation was 1 hour. | |
Application Type Pep-ELISA, WB, IHC |
Goat Anti-NDUFS6 Antibody
$431.00
| SKU | Unit Size | Price |
|---|---|---|
Select a unit size:
Selected References [{"pmid": 30377371, "intro": "This antibody has been successfully used in the following paper:", "title": "A high-throughput pipeline for validation of antibodies", "author": "Krzysztof Sikorski, Adi Mehta, Marit Inngjerdingen, Flourina Thakor, Simon Kling, Tomas Kalina, Tuula A. Nyman, Maria Ekman Stensland, Wei Zhou, Gustavo A. De Souza, Lars Holden, Jan Stuchly, Markus Templin and Fridtjof Lund-Johansen", "journal": "Nat Methods. 2018 Nov;15(11):909-912"}] |
Documents |



