Formulation Supplied at 0.5 mg/ml in Tris saline, 0.02% sodium azide, pH7.3 with 0.5% bovine serum albumin.
| |
Unit Size 100 µg | |
Storage Instructions Aliquot and store at -20°C. Minimize freezing and thawing. | |
Synonym / Alias Names NDUFS7|PSST|NADH-ubiquinon|NADH-coenzyme Q reductase|NADH dehydrogenase [ubiquinone] iron-sulfur protein 7, mitochondrial|NADH dehydrogenase (ubiquinone) Fe-S protein 7, 20kDa (NADH-coenzyme Q reductase)|MY017|MGC120002|FLJ46880|FLJ45860|CI-20KD | |
Accession ID NP_077718.3 | |
Blocking Peptide EBP10191 | |
Immunogen Peptide with sequence C-SRGEYVVAKLD, from the internal region of the protein sequence according to NP_077718.3. | |
Peptide Sequence C-SRGEYVVAKLD | |
Purification Method Purified from goat serum by ammonium sulphate precipitation followed by antigen affinity chromatography using the immunizing peptide. | |
Shipping Instructions Refrigerated | |
Predicted Species Human, Mouse, Rat, Dog, Cow | |
Reactive Species Human | |
Human Gene ID 374291 | |
Mouse Gene ID 75406 | |
Rat Gene ID 362837 | |
Product Grade ![]() | |
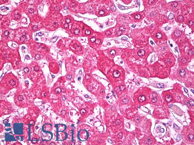
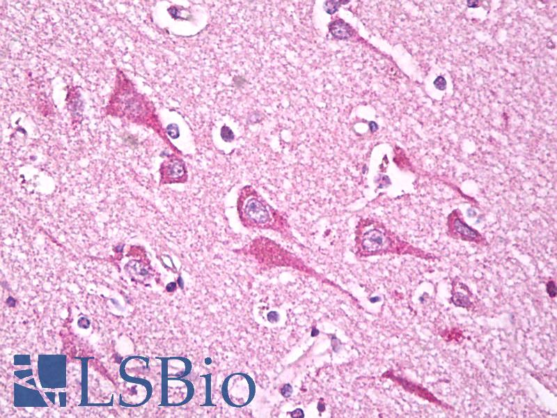
IHC Results Paraffin embedded Human Brain (Cortex) and Liver. Recommended concentration: 5µg/ml. | |
ELISA Detection Limit Antibody detection limit dilution 1:16000. | |
Western Blot Approx 20kDa band observed in Human Heart and Human Skeletal Muscle lysates (calculated MW of 23.6kDa according to NP_077718.3). Recommended concentration: 1-3µg/ml. Primary incubation was 1 hour. | |
Application Type Pep-ELISA, WB, IHC |
Goat Anti-NDUFS7 Antibody
$431.00
| SKU | Unit Size | Price |
|---|---|---|
Select a unit size:
Documents |



