Formulation Supplied at 0.5 mg/ml in Tris saline, 0.02% sodium azide, pH7.3 with 0.5% bovine serum albumin.
| |
Unit Size 100 µg | |
Storage Instructions Aliquot and store at -20°C. Minimize freezing and thawing. | |
Synonym / Alias Names NEK7|NIMA-related kinase 7|NIMA (never in mitosis gene a)-related kinase 7 | |
Accession ID NP_598001.1 | |
Blocking Peptide EBP10519 | |
Immunogen Peptide with sequence C-NTLANFRIEKK, from the internal region of the protein sequence according to NP_598001.1. | |
Peptide Sequence C-NTLANFRIEKK | |
Purification Method Purified from goat serum by ammonium sulphate precipitation followed by antigen affinity chromatography using the immunizing peptide. | |
Shipping Instructions Refrigerated | |
Predicted Species Human, Mouse, Rat, Dog, Cow | |
Reactive Species Human | |
Human Gene ID 140609 | |
Mouse Gene ID 59125 | |
Rat Gene ID 360850 | |
Product Grade ![]() | |
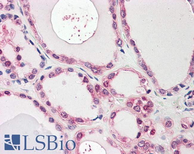
IHC Results Paraffin embedded Human Thyroid. Recommended concentration: 3.75µg/ml. | |
ELISA Detection Limit Antibody detection limit dilution 1:64000. | |
Western Blot Approx 35kDa band observed in lysates of cell line HeLa (calculated MW of 34.6kDa according to NP_598001.1). Recommended concentration: 0.05-0.2µg/ml. Primary incubation was 1 hour. | |
Application Type Pep-ELISA, WB, IHC |
Goat Anti-NEK7 Antibody
$431.00
| SKU | Unit Size | Price |
|---|---|---|
Select a unit size:
Documents |


