Formulation Supplied at 0.5 mg/ml in Tris saline, 0.02% sodium azide, pH7.3 with 0.5% bovine serum albumin.
| |
Unit Size 100 µg | |
Storage Instructions Aliquot and store at -20°C. Minimize freezing and thawing. | |
Synonym / Alias Names protein kinase C substrate|neurogranin|calmodulin-binding protein|hng|RC3|neurogranin (protein kinase C substrate, RC3)|NRGN | |
Accession ID NP_006167.1 | |
Blocking Peptide EBP09686 | |
Immunogen Peptide with sequence C-KIKSGERGRKG, from the internal region of the protein sequence according to NP_006167.1. | |
Product Comments Reported variants represent identical protein: NP_006167.1, NP_001119653.1 | |
Peptide Sequence C-KIKSGERGRKG | |
Purification Method Purified from goat serum by ammonium sulphate precipitation followed by antigen affinity chromatography using the immunizing peptide. | |
Shipping Instructions Refrigerated | |
Predicted Species Human, Mouse, Rar, Dog, Cow | |
Reactive Species Human | |
Human Gene ID 4900 | |
Mouse Gene ID 647011 | |
Product Grade ![]() | |
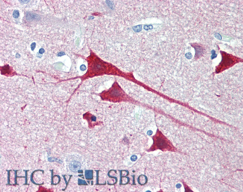
IHC Results Paraffin embedded Human Brain (Cortex). Recommended concentration: 5µg/ml. | |
ELISA Detection Limit Antibody detection limit dilution 1:8000. | |
Western Blot Approx 16kDa band observed in Human Brain (Frontal Cortex) lysate (calculated MW of 7.6kDa according to NP_006167.1). The observed molecular weights correspond to earlier findings in literature with different antibodies (Li et al, J Biol Chem. 1999 Jan 15;274(3):1294-300; PMID: 9880498). Recommended concentration: 0.1-0.3µg/ml. Primary incubation was 1 hour. Preliminary testing was unsuccessful on Mouse Brain for this particular batch. | |
Application Type Pep-ELISA, WB, IHC |
Goat Anti-Neurogranin precursor Antibody
$431.00
| SKU | Unit Size | Price |
|---|---|---|
Select a unit size:
Documents |


