Formulation Supplied at 0.5 mg/ml in Tris saline, 0.02% sodium azide, pH7.3 with 0.5% bovine serum albumin.
| |
Unit Size 100 µg | |
Storage Instructions Aliquot and store at -20°C. Minimize freezing and thawing. | |
Synonym / Alias Names solute carrier family 9 (sodium/hydrogen exchanger), isoform 3 regulatory factor 2|MGC104639|solute carrier family 9 (sodium/hydrogen exchanger), member 3 regulator 2|solute carrier family 9 isoform 3 regulator 2|solute carrier family 9 (sodium/hydrogen exchanger), isoform 3 regulatory factor 2|sodium/hydrogen exchanger|TKA-1|SIP1|SIP-1|OCTS2|NHERF2|NHERF-2|NHE3RF2|E3KARP|HGNC:11076|solute carrier family 9 (sodium/hydrogen exchanger), isoform 3 regulator 2|SLC9A3R2 | |
Accession ID NP_001123484.1 | |
Blocking Peptide EBP06971 | |
Immunogen Peptide with sequence C-DGSAWKQDPFQ, from the internal region of the protein sequence according to NP_001123484.1. | |
Product Comments Please note that this variant has an extra insertion of 11 residues compared to NP_004776.3. The immunizing peptide represents this insertion. | |
Peptide Sequence C-DGSAWKQDPFQ | |
Purification Method Purified from goat serum by ammonium sulphate precipitation followed by antigen affinity chromatography using the immunizing peptide. | |
Shipping Instructions Refrigerated | |
Predicted Species Human | |
Reactive Species Human | |
Human Gene ID 9351 | |
Product Grade ![]() | |
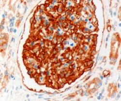
IHC Results In paraffin embedded Human Kidney shows strong membranous staining in glomerulus-. Recommended concentration, 1-2µg/ml. | |
ELISA Detection Limit Antibody detection limit dilution 1:32000. | |
Western Blot Approx 38kDa band observed in human kidney lysates (calculated MW of 37.4kDa according to BAA33216.1). Recommended concentration: 0.3-1µg/ml. | |
Application Type Pep-ELISA, WB, IHC |
Goat Anti-NHERF2 (isoform a) Antibody
$431.00
| SKU | Unit Size | Price |
|---|---|---|
Select a unit size:
Documents |


