Formulation Supplied at 0.5 mg/ml in Tris saline, 0.02% sodium azide, pH7.3 with 0.5% bovine serum albumin.
| |
Unit Size 100 µg | |
Storage Instructions Aliquot and store at -20°C. Minimize freezing and thawing. | |
Synonym / Alias Names CDLS|CDLS1|DKFZp434L1319|FLJ11203|FLJ12597|FLJ13354|FLJ13648|FLJ44854|IDN3|IDN3-B|Nipped-B homolog (Drosophila)|nipped-B-like|Scc2|SCC2 homolog|sister chromatid cohesion 2 homolog|NIPBL | |
Usage Summary Immunofluorescence: Strong expression of the protein seen in the cytoplasm and nuclei of HeLa cells. Recommended concentration: 10µg/ml. | |
Accession ID NP_597677.2; NP_056199.2 | |
Blocking Peptide EBP10055 | |
Immunogen Peptide with sequence C-RPDSPRVKQGDSNK, from the internal region of the protein sequence according to NP_597677.2; NP_056199.2. | |
Product Comments This antibody is expected to recognize both reported isoforms (NP_597677.2; NP_056199.2). | |
Peptide Sequence C-RPDSPRVKQGDSNK | |
Purification Method Purified from goat serum by ammonium sulphate precipitation followed by antigen affinity chromatography using the immunizing peptide. | |
Shipping Instructions Refrigerated | |
Predicted Species Human, Mouse, Rat, Dog, Cow | |
Reactive Species Human | |
Human Gene ID 25836 | |
Mouse Gene ID 71175 | |
Rat Gene ID 294787 | |
Product Grade ![]() | |
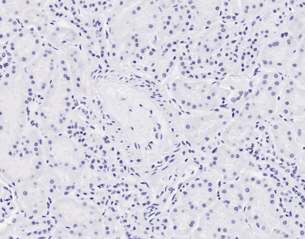
IHC Results Paraffin embedded Human Kidney. Recommended concentration: 2µg/ml. | |
ELISA Detection Limit Antibody detection limit dilution 1:32000. | |
Application Type Pep-ELISA, IHC, IF |
Goat Anti-NIPBL (aa889-902) Antibody
$431.00
| SKU | Unit Size | Price |
|---|---|---|
Select a unit size:
Documents |



